别名:QR2; DHQV; DIA6; NMOR2应用:WB,IHC
反应种属:Human, Mouse, Rat
规格:50μl/100μl
| Description |
|---|
| This gene encodes a member of the thioredoxin family of enzymes. It is a cytosolic and ubiquitously expressed flavoprotein that catalyzes the two-electron reduction of quinone substrates and uses dihydronicotinamide riboside as a reducing coenzyme. Mutations in this gene have been associated with neurodegenerative diseases and several cancers. Alternative splicing results in multiple transcript variants. |
| Specification | |
|---|---|
| Aliases | QR2; DHQV; DIA6; NMOR2 |
| Swissprot | P16083 |
| WB Predicted band size | 26 kDa |
| Host/Isotype | Rabbit IgG |
| Storage | Store at 4°C short term. Aliquot and store at -20°C long term. Avoid freeze/thaw cycles. |
| Species Reactivity | Human, Mouse, Rat |
| Immunogen | Fusion protein of human NQO2 |
| Formulation | pH7.4 PBS, 0.05% NaN3, 40% Glycerol |
| Application | |
|---|---|
| WB | 1/500-1/2000 |
| IHC | 1/50-1/200 |
| ELISA | 1/5000-1/10000 |
![]() |
Gel: 12%SDS-PAGE, Lysate: 40 μg, Lane: K562 cell lysate, Primary antibody: P03318(NQO2 Antibody) at dilution 1/650, Secondary antibody: Goat anti rabbit IgG at 1/5000 dilution, Exposure time: 1 minute |
![]() |
The image is immunohistochemistry of paraffin-embedded Human tonsil tissue using P03318(NQO2 Antibody) at dilution 1/50. (Original magnification: ×200) |
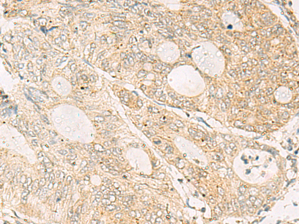
![]() |
The image is immunohistochemistry of paraffin-embedded Human colorectal cancer tissue using P03318(NQO2 Antibody) at dilution 1/50. (Original magnification: ×200) |
本公司的所有产品仅用于科学研究或者工业应用等非医疗目的,不可用于人类或动物的临床诊断或治疗,非药用,非食用。
暂无评论
本公司的所有产品仅用于科学研究或者工业应用等非医疗目的,不可用于人类或动物的临床诊断或治疗,非药用,非食用。
中文



发表回复