别名:EAR3; BBOAS; EAR-3; NR2F2; SVP44; BBSOAS; ERBAL3; TFCOUP1; COUP-TFI; TCFCOUP1应用:WB,IHC
反应种属:Human, Mouse
规格:50μl/100μl
| Description |
|---|
| The protein encoded by this gene is a nuclear hormone receptor and transcriptional regulator. The encoded protein acts as a homodimer and binds to 5′-AGGTCA-3′ repeats. Defects in this gene are a cause of Bosch-Boonstra optic atrophy syndrome (BBOAS). |
| Specification | |
|---|---|
| Aliases | EAR3; BBOAS; EAR-3; NR2F2; SVP44; BBSOAS; ERBAL3; TFCOUP1; COUP-TFI; TCFCOUP1 |
| Swissprot | P10589 |
| WB Predicted band size | 46 kDa |
| Host/Isotype | Rabbit IgG |
| Storage | Store at 4°C short term. Aliquot and store at -20°C long term. Avoid freeze/thaw cycles. |
| Species Reactivity | Human, Mouse |
| Immunogen | Synthetic peptide of human NR2F1 |
| Formulation | pH7.4 PBS, 0.05% NaN3, 40% Glycerol |
| Application | |
|---|---|
| WB | 1/200-1/1000 |
| IHC | 1/20-1/100 |
| ELISA | 1/5000-1/10000 |
![]() |
Gel: 8%SDS-PAGE, Lysate: 40 μg, Lane 1-2: 293T and NIH/3T3 cell lysates, Primary antibody: P13211(NR2F1 Antibody) at dilution 1/200, Secondary antibody: Goat anti rabbit IgG at 1/8000 dilution, Exposure time: 2 minutes |
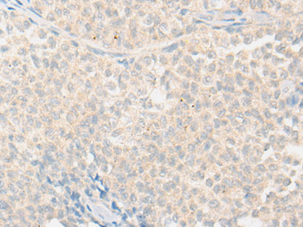
![]() |
The image is immunohistochemistry of paraffin-embedded Human ovarian cancer tissue using P13211(NR2F1 Antibody) at dilution 1/20. (Original magnification: ×200) |
本公司的所有产品仅用于科学研究或者工业应用等非医疗目的,不可用于人类或动物的临床诊断或治疗,非药用,非食用。
暂无评论
本公司的所有产品仅用于科学研究或者工业应用等非医疗目的,不可用于人类或动物的临床诊断或治疗,非药用,非食用。
中文


发表回复