别名:NS6; CMNS; NCMS; ALPS4; N-ras; NRAS1应用:WB,IHC
反应种属:Human, Mouse, Rat
规格:50μl/100μl
| Description |
|---|
| This is an N-ras oncogene encoding a membrane protein that shuttles between the Golgi apparatus and the plasma membrane. This shuttling is regulated through palmitoylation and depalmitoylation by the ZDHHC9-GOLGA7 complex. The encoded protein, which has intrinsic GTPase activity, is activated by a guanine nucleotide-exchange factor and inactivated by a GTPase activating protein. Mutations in this gene have been associated with somatic rectal cancer, follicular thyroid cancer, autoimmune lymphoproliferative syndrome, Noonan syndrome, and juvenile myelomonocytic leukemia. |
| Specification | |
|---|---|
| Aliases | NS6; CMNS; NCMS; ALPS4; N-ras; NRAS1 |
| Swissprot | P01111 |
| WB Predicted band size | 21 kDa |
| Host/Isotype | Rabbit IgG |
| Storage | Store at 4°C short term. Aliquot and store at -20°C long term. Avoid freeze/thaw cycles. |
| Species Reactivity | Human, Mouse, Rat |
| Immunogen | Synthetic peptide of human NRAS |
| Formulation | pH7.4 PBS, 0.05% NaN3, 40% Glycerol |
| Application | |
|---|---|
| WB | 1/200-1/1000 |
| IHC | 1/50-1/100 |
| ELISA | 1/5000-1/10000 |
![]() |
Gel: 10%SDS-PAGE, Lysate: 40 μg, Lane 1-2: Human cerebella tissue, Mouse brain tissue lysates, Primary antibody: P13762(NRAS Antibody) at dilution 1/250, Secondary antibody: Goat anti rabbit IgG at 1/5000 dilution, Exposure time: 1 minute |
![]() |
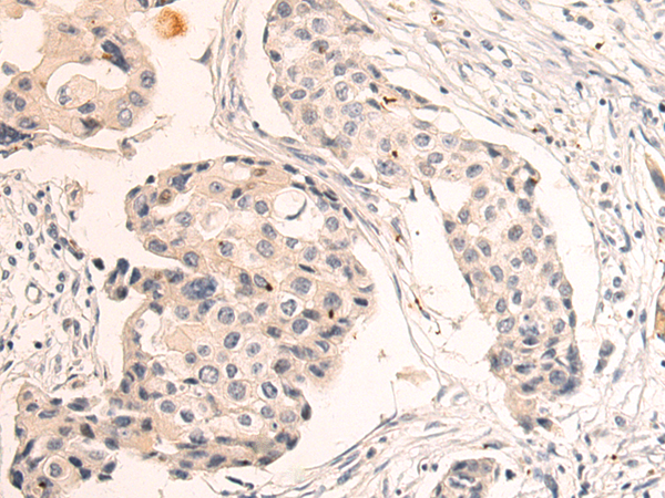
The image is immunohistochemistry of paraffin-embedded Human breast cancer tissue using P13762(NRAS Antibody) at dilution 1/50. (Original magnification: ×200) |
![]() |
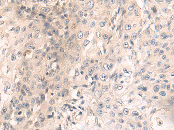
The image is immunohistochemistry of paraffin-embedded Human esophagus cancer tissue using P13762(NRAS Antibody) at dilution 1/50. (Original magnification: ×200) |
本公司的所有产品仅用于科学研究或者工业应用等非医疗目的,不可用于人类或动物的临床诊断或治疗,非药用,非食用。
暂无评论
本公司的所有产品仅用于科学研究或者工业应用等非医疗目的,不可用于人类或动物的临床诊断或治疗,非药用,非食用。
中文



发表回复