别名:P311; PTZ17; SEZ17; D4S114; C5orf13; PRO1873应用:WB,IHC
反应种属:Human, Mouse, Rat
规格:50μl/100μl
| Description |
|---|
| May have roles in neural function. Ectopic expression augments motility of gliomas. Promotes also axonal regeneration. May also have functions in cellular differentiation. Induces differentiation of fibroblast into myofibroblast and myofibroblast ameboid migration. Increases retinoic-acid regulation of lipid-droplet biogenesis. Down-regulates the expression of TGFB1 and TGFB2 but not of TGFB3. May play a role in the regulation of alveolar generation. |
| Specification | |
|---|---|
| Aliases | P311; PTZ17; SEZ17; D4S114; C5orf13; PRO1873 |
| Swissprot | Q16612 |
| WB Predicted band size | 8 kDa |
| Host/Isotype | Rabbit IgG |
| Storage | Store at 4°C short term. Aliquot and store at -20°C long term. Avoid freeze/thaw cycles. |
| Species Reactivity | Human, Mouse, Rat |
| Immunogen | Synthetic peptide of human NREP |
| Formulation | pH7.4 PBS, 0.05% NaN3, 40% Glycerol |
| Application | |
|---|---|
| WB | 1/500-1/2000 |
| IHC | 1/50-1/100 |
| ELISA | 1/5000-1/10000 |
![]() |
Gel: 8%SDS-PAGE, Lysate: 40 μg, Lane: A172 cell lysate, Primary antibody: P05712(NREP Antibody) at dilution 1/800, Secondary antibody: Goat anti rabbit IgG at 1/5000 dilution, Exposure time: 1 minute |
![]() |
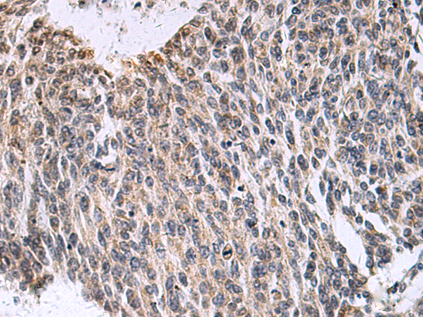
The image is immunohistochemistry of paraffin-embedded Human colorectal cancer tissue using P05712(NREP Antibody) at dilution 1/35. (Original magnification: ×200) |
本公司的所有产品仅用于科学研究或者工业应用等非医疗目的,不可用于人类或动物的临床诊断或治疗,非药用,非食用。
暂无评论
本公司的所有产品仅用于科学研究或者工业应用等非医疗目的,不可用于人类或动物的临床诊断或治疗,非药用,非食用。
中文


发表回复