别名:DON1; HRG2; NTAK应用:IHC
反应种属:Human, Mouse, Rat
规格:50μl/100μl
| Description |
|---|
| This gene encodes a novel member of the neuregulin family of growth and differentiation factors. Through interaction with the ERBB family of receptors, this protein induces the growth and differentiation of epithelial, neuronal, glial, and other types of cells. The gene consists of 12 exons and the genomic structure is similar to that of neuregulin 1, another member of the neuregulin family of ligands. The products of these genes mediate distinct biological processes by acting at different sites in tissues and eliciting different biological responses in cells. This gene is located close to the region for demyelinating Charcot-Marie-Tooth disease locus, but is not responsible for this disease. Alternative transcript variants encoding distinct isoforms have been described. |
| Specification | |
|---|---|
| Aliases | DON1; HRG2; NTAK |
| Swissprot | O14511 |
| Host/Isotype | Rabbit IgG |
| Storage | Store at 4°C short term. Aliquot and store at -20°C long term. Avoid freeze/thaw cycles. |
| Species Reactivity | Human, Mouse, Rat |
| Immunogen | Synthetic peptide of human NRG2 |
| Formulation | pH7.4 PBS, 0.05% NaN3, 40% Glycerol |
| Application | |
|---|---|
| IHC | 1/20-1/100 |
| ELISA | 1/5000-1/10000 |
![]() |
The image is immunohistochemistry of paraffin-embedded Human esophagus cancer tissue using P04622(NRG2 Antibody) at dilution 1/25. (Original magnification: ×200) |
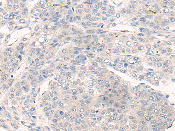
![]() |
The image is immunohistochemistry of paraffin-embedded Human liver cancer tissue using P04622(NRG2 Antibody) at dilution 1/25. (Original magnification: ×200) |
本公司的所有产品仅用于科学研究或者工业应用等非医疗目的,不可用于人类或动物的临床诊断或治疗,非药用,非食用。
暂无评论
本公司的所有产品仅用于科学研究或者工业应用等非医疗目的,不可用于人类或动物的临床诊断或治疗,非药用,非食用。
中文


发表回复