别名:NTN应用:IHC
反应种属:Human
规格:50μl/100μl
| Description |
|---|
| Neurturin is a member of the TGF-beta subfamily, TRN. This gene signals through RET and a GPI-linked coreceptor, and promotes survival of neuronal populations. A neurturin mutation has been described in a family with Hirschsprung Disease. |
| Specification | |
|---|---|
| Aliases | NTN |
| Entrez GeneID | 4902; |
| Swissprot | Q99748 |
| Storage | Store at 4°C short term. Aliquot and store at -20°C long term. Avoid freeze/thaw cycles. |
| Species Reactivity | Human |
| Immunogen | Synthetic peptide corresponding to residues near the C terminal of human neurturin |
| Formulation | Rabbit IgG in pH7.4 PBS, 0.05% NaN3, 40% Glycerol. |
| Application | |
|---|---|
| IHC | 1/50-1/200 |
![]() |
Immunohistochemical analysis of paraffin-embedded Human ovarian cancer tissue using P42897 at dilution 1/60. |
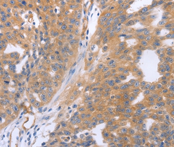
![]() |
Immunohistochemical analysis of paraffin-embedded Human brain cancer tissue using P42897 at dilution 1/60. |
本公司的所有产品仅用于科学研究或者工业应用等非医疗目的,不可用于人类或动物的临床诊断或治疗,非药用,非食用。
暂无评论
本公司的所有产品仅用于科学研究或者工业应用等非医疗目的,不可用于人类或动物的临床诊断或治疗,非药用,非食用。
中文


发表回复