别名:ENO2; Gamma-enolase; 2-phospho-D-glycerate hydro-lyase; Enolase 2; Neural enolase; Neuron-specific enolase; NSE应用:WB,IHC,ICC,FCM
反应种属:Human,Mouse,Rat
规格:50μl/100μl
| Description |
|---|
| ENO2 an enzyme with 2-phospho-D-glycerate hydro-lyase activity. One of the three enolase isoenzymes found in mammals. This isoenzyme, a homodimer, is found in mature neurons and cells of neuronal origin. A switch from alpha enolase to gamma enolase occurs in neural tissue during development in rats and primates. |
| Specification | |
|---|---|
| Aliases | ENO2; Gamma-enolase; 2-phospho-D-glycerate hydro-lyase; Enolase 2; Neural enolase; Neuron-specific enolase; NSE |
| Entrez GeneID | 2026 |
| Swissprot | P09104 |
| WB Predicted band size | Calculated MW: 47 kDa; Observed MW: 47 kDa |
| Host/Isotype | Rabbit IgG |
| Storage | Store at 4°C short term. Aliquot and store at -20°C long term. Avoid freeze/thaw cycles. |
| Species Reactivity | Human,Mouse,Rat |
| Immunogen | A synthetic peptide of human NSE |
| Formulation | 50mM Tris-Glycine(pH 7.4), 0.15M NaCl, 40% Glycerol, 0.01% Sodium azide and 0.05% BSA |
| Application | |
|---|---|
| WB | 1/500-1/1000 |
| IHC | 1/50-1/100 |
| ICC | 1/50-1/200 |
| FCM | 1/50-1/100 |
![]() |
Western blot analysis of NSE in mouse brain, rat brain lysates using NSE antibody. |
![]() |
Western blot analysis of Enolase2/NSE in Human Fetal Brain lysates using Enolase2/NSE antibody. |
![]() |
Immunocytochemistry analysis of NSE(green) in Hela using NSE antibody,and DAPI(blue) |
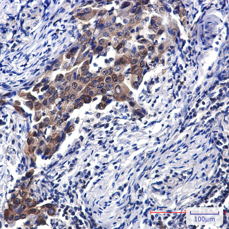
![]() |
Immunohistochemistry analysis of paraffin-embedded Human lung cancer using NSE antibody.High-pressure and temperature Sodium Citrate pH 6.0 was used for antigen retrieval. |
本公司的所有产品仅用于科学研究或者工业应用等非医疗目的,不可用于人类或动物的临床诊断或治疗,非药用,非食用。
暂无评论
本公司的所有产品仅用于科学研究或者工业应用等非医疗目的,不可用于人类或动物的临床诊断或治疗,非药用,非食用。
中文




发表回复