别名:NT4; NT5; NT-4; NT-5; NTF5; GLC10; GLC1O; NT-4/5应用:WB,IHC
反应种属:Human
规格:50μl/100μl
| Description |
|---|
| This gene is a member of a family of neurotrophic factors, neurotrophins, that control survival and differentiation of mammalian neurons. The expression of this gene is ubiquitous and less influenced by environmental signals. While knock-outs of other neurotrophins including nerve growth factor, brain-derived neurotrophic factor, and neurotrophin 3 prove lethal during early postnatal development, NTF5-deficient mice only show minor cellular deficits and develop normally to adulthood. |
| Specification | |
|---|---|
| Aliases | NT4; NT5; NT-4; NT-5; NTF5; GLC10; GLC1O; NT-4/5 |
| Entrez GeneID | 4909; |
| Swissprot | P34130 |
| WB Predicted band size | 22kDa |
| Storage | Store at 4°C short term. Aliquot and store at -20°C long term. Avoid freeze/thaw cycles. |
| Species Reactivity | Human |
| Immunogen | Fusion protein corresponding to a region derived from internal residues of human neurotrophin 4 |
| Formulation | Rabbit IgG in pH7.4 PBS, 0.05% NaN3, 40% Glycerol. |
| Application | |
|---|---|
| WB | 1/500-1/2000 |
| IHC | 110-1/50 |
![]() |
Gel: 12%SDS-PAGE Lysate: 40ug 231 cell Primary antibody: 1/300 dilution Secondary antibody dilution: 1/8000 Exposure time: 2 minutes |
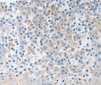
![]() |
Immunohistochemical analysis of paraffin-embedded Human tonsil tissue using P42778 at dilution 1/20. |
本公司的所有产品仅用于科学研究或者工业应用等非医疗目的,不可用于人类或动物的临床诊断或治疗,非药用,非食用。
暂无评论
本公司的所有产品仅用于科学研究或者工业应用等非医疗目的,不可用于人类或动物的临床诊断或治疗,非药用,非食用。
中文


发表回复