别名:Nuclear pore complex protein Nup160, 160 kDa nucleoporin, Nucleoporin Nup160, NUP160, KIAA0197, NUP120应用:WB,IHC
反应种属:Mouse
规格:50μl/100μl
| Description |
|---|
| NUP160 is 1 of up to 60 proteins that make up the 120-MD nuclear pore complex, which mediates nucleoplasmic transport. |
| Specification | |
|---|---|
| Aliases | Nuclear pore complex protein Nup160, 160 kDa nucleoporin, Nucleoporin Nup160, NUP160, KIAA0197, NUP120 |
| Entrez GeneID | 23279 |
| Swissprot | Q12769 |
| WB Predicted band size | 162.1kDa |
| Host/Isotype | Rabbit IgG |
| Storage | Store at 4°C short term. Aliquot and store at -20°C long term. Avoid freeze/thaw cycles. |
| Species Reactivity | Mouse |
| Immunogen | This NUP160 antibody is generated from rabbits immunized with a KLH conjugated synthetic peptide between 428-455 amino acids from the Central region of human NUP160. |
| Formulation | Purified polyclonal antibody supplied in PBS with 0.05% sodium azide. This antibody is purified through a protein A column, followed by peptide affinity purification. |
| Application | |
|---|---|
| WB | 1/1000 |
| IHC | 1/100-1/500 |
![]() |
NUP160 Antibody (Center) (Cat. #P31000) western blot analysis in mouse NIH-3T3 cell line lysates (35ug/lane).This demonstrates the NUP160 antibody detected the NUP160 protein (arrow). |
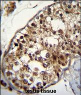
![]() |
NUP160 Antibody (Center) (Cat. #P31000)immunohistochemistry analysis in formalin fixed and paraffin embedded human testis tissue followed by peroxidase conjugation of the secondary antibody and DAB staining.This data demonstrates the use of NUP160 Antibody (Center) for immunohistochemistry. Clinical relevance has not been evaluated. |
本公司的所有产品仅用于科学研究或者工业应用等非医疗目的,不可用于人类或动物的临床诊断或治疗,非药用,非食用。
暂无评论
本公司的所有产品仅用于科学研究或者工业应用等非医疗目的,不可用于人类或动物的临床诊断或治疗,非药用,非食用。
中文


发表回复