别名:96 kDa nucleoporin; 98 kDa nucleoporin; ADAR2; ADIR2; GLFG-repeat containing nucleoporin; Nuclear pore complex protein Nup96; Nuclear pore complex protein Nup98 Nup96; Nucleoporin 98kD; nucleoporin 98kDa; Nucleoporin Nup96; Nucleoporin Nup98; NUP196; NUP96; Nup98; Nup98-Nup96; NUP98_HUMAN.应用:WB,IHC,ICC
反应种属:Human
规格:50μl/100μl
| Description |
|---|
| Plays a role in the nuclear pore complex (NPC) assembly and/or maintenance. Nup98 and Nup96 are involved in the bidirectional transport across the NPC. May anchor NUP153 and TPR to the NPC. |
| Specification | |
|---|---|
| Aliases | 96 kDa nucleoporin; 98 kDa nucleoporin; ADAR2; ADIR2; GLFG-repeat containing nucleoporin; Nuclear pore complex protein Nup96; Nuclear pore complex protein Nup98 Nup96; Nucleoporin 98kD; nucleoporin 98kDa; Nucleoporin Nup96; Nucleoporin Nup98; NUP196; NUP96; Nup98; Nup98-Nup96; NUP98_HUMAN. |
| Entrez GeneID | 4928 |
| Swissprot | P52948 |
| WB Predicted band size | Calculated MW: 198 kDa; Observed MW: 188 kDa |
| Host/Isotype | Rabbit IgG |
| Storage | Store at 4°C short term. Aliquot and store at -20°C long term. Avoid freeze/thaw cycles. |
| Species Reactivity | Human |
| Immunogen | A synthesized peptide derived from human NUP98 |
| Formulation | Rabbit IgG in phosphate buffered saline , pH 7.4, 150mM NaCl, 0.02% sodium azide and 50% glycerol. |
| Application | |
|---|---|
| WB | 1/500-1/1000 |
| IHC | 1/50-1/100 |
| ICC | 1/50-1/200 |
![]() |
Western blot analysis of NUP98 in HeLa lysates using NUP98 antibody. |
![]() |
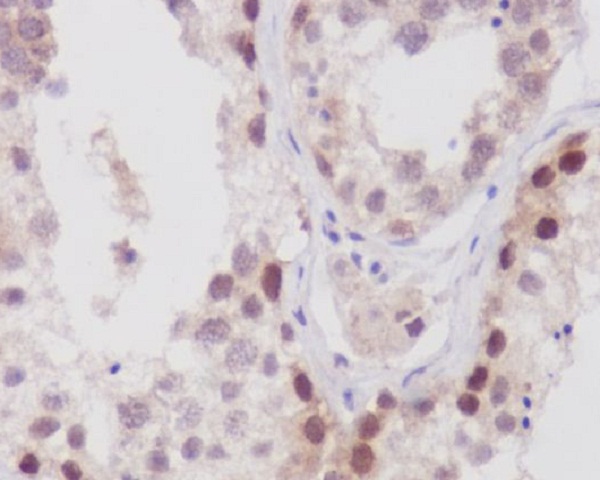
Immunohistochemistry analysis of paraffin-embedded Human testis using NUP98 antibody.High-pressure and temperature Sodium Citrate pH 6.0 was used for antigen retrieval. |
本公司的所有产品仅用于科学研究或者工业应用等非医疗目的,不可用于人类或动物的临床诊断或治疗,非药用,非食用。
暂无评论
本公司的所有产品仅用于科学研究或者工业应用等非医疗目的,不可用于人类或动物的临床诊断或治疗,非药用,非食用。
中文


发表回复