别名:RDCVF; TXNL6应用:IHC
反应种属:Human
规格:50μl/100μl
| Description |
|---|
| Retinitis pigmentosa (RP) is a disease that leads to blindness by degeneration of cone photoreceptors. Rods produce factors required for cone viability. The protein encoded by this gene is one of those factors and is similar to a truncated form of thioredoxin. This gene has been proposed to have therapeutic value against RP. |
| Specification | |
|---|---|
| Aliases | RDCVF; TXNL6 |
| Swissprot | Q96CM4 |
| Host/Isotype | Rabbit IgG |
| Storage | Store at 4°C short term. Aliquot and store at -20°C long term. Avoid freeze/thaw cycles. |
| Species Reactivity | Human |
| Immunogen | Fusion protein of human NXNL1 |
| Formulation | pH7.4 PBS, 0.05% NaN3, 40% Glycerol |
| Application | |
|---|---|
| IHC | 1/30-1/150 |
| ELISA | 1/5000-1/10000 |
![]() |
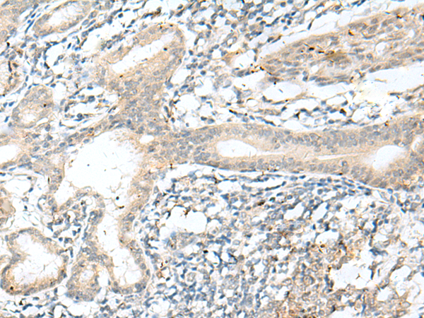
The image is immunohistochemistry of paraffin-embedded Human cervical cancer tissue using P02860(NXNL1 Antibody) at dilution 1/45. (Original magnification: ×200) |
![]() |
The image is immunohistochemistry of paraffin-embedded Human esophagus cancer tissue using P02860(NXNL1 Antibody) at dilution 1/45. (Original magnification: ×200) |
本公司的所有产品仅用于科学研究或者工业应用等非医疗目的,不可用于人类或动物的临床诊断或治疗,非药用,非食用。
暂无评论
本公司的所有产品仅用于科学研究或者工业应用等非医疗目的,不可用于人类或动物的临床诊断或治疗,非药用,非食用。
中文


发表回复