别名:Neurexophilin-1, NXPH1, NPH1应用:WB,IHC,FCM
反应种属:Human, Mouse
规格:50μl/100μl
| Description |
|---|
| NXPH1 is a secreted protein with a variable N-terminal domain, a highly conserved, N-glycosylated central domain, a short linker region, and a cysteine-rich C-terminal domain. This protein forms a very tight complex with alpha neurexins, a group of proteins that promote adhesion between dendrites and axons. |
| Specification | |
|---|---|
| Aliases | Neurexophilin-1, NXPH1, NPH1 |
| Entrez GeneID | 30010 |
| Swissprot | P58417 |
| WB Predicted band size | 31.1kDa |
| Host/Isotype | Rabbit IgG |
| Storage | Store at 4°C short term. Aliquot and store at -20°C long term. Avoid freeze/thaw cycles. |
| Species Reactivity | Human, Mouse |
| Immunogen | This NXPH1 antibody is generated from rabbits immunized with a KLH conjugated synthetic peptide between 56-85 amino acids from the N-terminal region of human NXPH1. |
| Formulation | Purified polyclonal antibody supplied in PBS with 0.05% sodium azide. This antibody is purified through a protein A column, followed by peptide affinity purification. |
| Application | |
|---|---|
| WB | 1/1000 |
| IHC | 1/100-1/500 |
| FCM | 1/10-1/50 |
![]() |
NXPH1 Antibody (N-term) (Cat. #P30511) western blot analysis in mouse cerebellum,brain tissue lysates (35ug/lane).This demonstrates the NXPH1 antibody detected the NXPH1 protein (arrow). |
![]() |
NXPH1 Antibody (N-term) (Cat. #P30511) flow cytometric analysis of 293 cells (right histogram) compared to a negative control cell (left histogram).FITC-conjugated goat-anti-rabbit secondary antibodies were used for the analysis. |
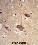
![]() |
Formalin-fixed and paraffin-embedded human brain tissue reacted with NXPH1 Antibody (N-term), which was peroxidase-conjugated to the secondary antibody, followed by DAB staining. This data demonstrates the use of this antibody for immunohistochemistry; clinical relevance has not been evaluated. |
本公司的所有产品仅用于科学研究或者工业应用等非医疗目的,不可用于人类或动物的临床诊断或治疗,非药用,非食用。
暂无评论
本公司的所有产品仅用于科学研究或者工业应用等非医疗目的,不可用于人类或动物的临床诊断或治疗,非药用,非食用。
中文



发表回复