别名:LOX1; LOXIN; SLOX1; CLEC8A; SCARE1应用:IHC
反应种属:Human
规格:50μl/100μl
| Description |
|---|
| This gene encodes a low density lipoprotein receptor that belongs to the C-type lectin superfamily. This gene is regulated through the cyclic AMP signaling pathway. The encoded protein binds, internalizes and degrades oxidized low-density lipoprotein. This protein may be involved in the regulation of Fas-induced apoptosis. This protein may play a role as a scavenger receptor. Mutations of this gene have been associated with atherosclerosis, risk of myocardial infarction, and may modify the risk of Alzheimer’s disease. Alternate splicing results in multiple transcript variants. |
| Specification | |
|---|---|
| Aliases | LOX1; LOXIN; SLOX1; CLEC8A; SCARE1 |
| Swissprot | P78380 |
| Host/Isotype | Rabbit IgG |
| Storage | Store at 4°C short term. Aliquot and store at -20°C long term. Avoid freeze/thaw cycles. |
| Species Reactivity | Human |
| Immunogen | Synthetic peptide of human OLR1 |
| Formulation | pH7.4 PBS, 0.05% NaN3, 40% Glycerol |
| Application | |
|---|---|
| IHC | 1/25-1/100 |
| ELISA | 1/1000-1/2000 |
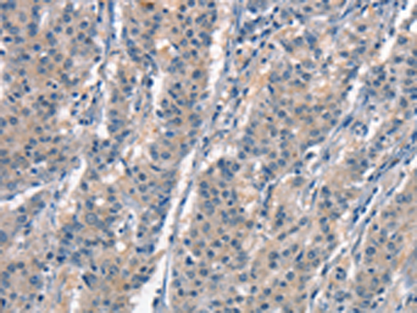
![]() |
The image is immunohistochemistry of paraffin-embedded Human thyroid cancer tissue using P04345(OLR1 Antibody) at dilution 1/25. (Original magnification: ×200) |
![]() |
The image is immunohistochemistry of paraffin-embedded Human gastric cancer tissue using P04345(OLR1 Antibody) at dilution 1/25. (Original magnification: ×200) |
本公司的所有产品仅用于科学研究或者工业应用等非医疗目的,不可用于人类或动物的临床诊断或治疗,非药用,非食用。
暂无评论
本公司的所有产品仅用于科学研究或者工业应用等非医疗目的,不可用于人类或动物的临床诊断或治疗,非药用,非食用。
中文


发表回复