别名:MOP; MOR; LMOR; MOR1; OPRM; M-OR-1应用:WB,IHC
反应种属:Human, Mouse, Rat
规格:50μl/100μl
| Description |
|---|
| This gene encodes one of at least three opioid receptors in humans; the mu opioid receptor (MOR). The MOR is the principal target of endogenous opioid peptides and opioid analgesic agents such as beta-endorphin and enkephalins. The MOR also has an important role in dependence to other drugs of abuse, such as nicotine, cocaine, and alcohol via its modulation of the dopamine system. The NM_001008503.2:c.118A>G allele has been associated with opioid and alcohol addiction and variations in pain sensitivity but evidence for it having a causal role is conflicting. Multiple transcript variants encoding different isoforms have been found for this gene. Though the canonical MOR belongs to the superfamily of 7-transmembrane-spanning G-protein-coupled receptors some isoforms of this gene have only 6 transmembrane domains. |
| Specification | |
|---|---|
| Aliases | MOP; MOR; LMOR; MOR1; OPRM; M-OR-1 |
| Swissprot | P35372 |
| WB Predicted band size | 44 kDa |
| Host/Isotype | Rabbit IgG |
| Storage | Store at 4°C short term. Aliquot and store at -20°C long term. Avoid freeze/thaw cycles. |
| Species Reactivity | Human, Mouse, Rat |
| Immunogen | Synthetic peptide of human OPRM1 |
| Formulation | pH7.4 PBS, 0.05% NaN3, 40% Glycerol |
| Application | |
|---|---|
| WB | 1/500-1/2000 |
| IHC | 1/50-1/200 |
| ELISA | 1/5000-1/10000 |
![]() |
Gel: 8%SDS-PAGE, Lysate: 40 μg, Lane 1-3: Human cerebella tissue, A549 cell, RAW264.7 cell lysates, Primary antibody: P13771(OPRM1 Antibody) at dilution 1/800, Secondary antibody: Goat anti rabbit IgG at 1/5000 dilution, Exposure time: 1 minute |
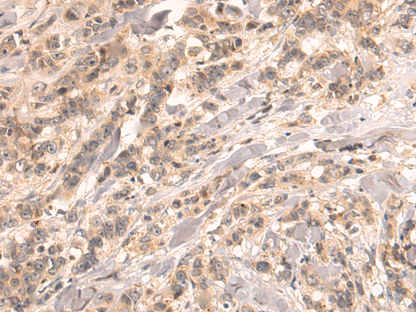
![]() |
The image is immunohistochemistry of paraffin-embedded Human breast cancer tissue using P13771(OPRM1 Antibody) at dilution 1/50. (Original magnification: ×200) |
本公司的所有产品仅用于科学研究或者工业应用等非医疗目的,不可用于人类或动物的临床诊断或治疗,非药用,非食用。
暂无评论
本公司的所有产品仅用于科学研究或者工业应用等非医疗目的,不可用于人类或动物的临床诊断或治疗,非药用,非食用。
中文


发表回复