别名:ZA20D1; CEZANNE应用:IHC
反应种属:Human, Mouse
规格:50μl/100μl
| Description |
|---|
| OTUD7B (OTU domain-containing protein 7B), also known as ZA20D1 or Cezanne, is an 843 amino acid protein that localizes to both the nucleus and the cytoplasm. Expressed in a variety of tissues, including liver, kidney, heart and immature B-cells, OTUD7B functions to hydrolyze branched and linear forms of polyubiquitin, specifically deubiquinating Lys-48- and Lys-63-linked polyubiquitin chains. Via its ability to deubiquinate target proteins, OTUD7B regulates the inflammatory response within the cell and may play a role in cell survival. More specifically, OTUD7B forms a negative feedback loop in pro-inflammatory signaling, thereby suppressing NF˚B activity and helping to resolve inflammatory responses. OTUD7B contains one C-terminal A20-type zinc finger, one OTU domain and one N-terminal TRAF-binding domain through which it conveys its deubiquitinating activity. |
| Specification | |
|---|---|
| Aliases | ZA20D1; CEZANNE |
| Swissprot | Q6GQQ9 |
| Host/Isotype | Rabbit IgG |
| Storage | Store at 4°C short term. Aliquot and store at -20°C long term. Avoid freeze/thaw cycles. |
| Species Reactivity | Human, Mouse |
| Immunogen | Synthetic peptide of human OTUD7B |
| Formulation | pH7.4 PBS, 0.05% NaN3, 40% Glycerol |
| Application | |
|---|---|
| IHC | 1/20-1/100 |
| ELISA | 1/5000-1/10000 |
![]() |
The image is immunohistochemistry of paraffin-embedded Human liver cancer tissue using P13072(OTUD7B Antibody) at dilution 1/40. (Original magnification: ×200) |
![]() |
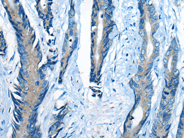
The image is immunohistochemistry of paraffin-embedded Human gastric cancer tissue using P13072(OTUD7B Antibody) at dilution 1/40. (Original magnification: ×200) |
本公司的所有产品仅用于科学研究或者工业应用等非医疗目的,不可用于人类或动物的临床诊断或治疗,非药用,非食用。
暂无评论
本公司的所有产品仅用于科学研究或者工业应用等非医疗目的,不可用于人类或动物的临床诊断或治疗,非药用,非食用。
中文


发表回复