别名:TNFSF4; TXGP1; Tumor necrosis factor ligand superfamily member 4; Glycoprotein Gp34; OX40 ligand; OX40L; TAX transcriptionally-activated glycoprotein 1; CD antigen CD252应用:WB,IHC
反应种属:Human
规格:50μl/100μl
| Description |
|---|
| This gene encodes a cytokine of the tumor necrosis factor (TNF) ligand family. The encoded protein functions in T cell antigen-presenting cell (APC) interactions and mediates adhesion of activated T cells to endothelial cells. Polymorphisms in this gene have been associated with Sjogren’s syndrome and systemic lupus erythematosus. Alternative splicing results in multiple transcript variants |
| Specification | |
|---|---|
| Aliases | TNFSF4; TXGP1; Tumor necrosis factor ligand superfamily member 4; Glycoprotein Gp34; OX40 ligand; OX40L; TAX transcriptionally-activated glycoprotein 1; CD antigen CD252 |
| Entrez GeneID | 7292 |
| Swissprot | P23510 |
| WB Predicted band size | Calculated MW: 21 kDa; Observed MW: 21 kDa |
| Host/Isotype | Rabbit IgG |
| Storage | Store at 4°C short term. Aliquot and store at -20°C long term. Avoid freeze/thaw cycles. |
| Species Reactivity | Human |
| Immunogen | The antiserum was produced against synthesized peptide derived from the Internal region of human TNFSF4. AA range:31-80 |
| Formulation | Liquid in PBS containing 50% glycerol, 0.5% BSA and 0.02% sodium azide, pH 7.3. |
| Application | |
|---|---|
| WB | 1/500-1/1000 |
| IHC | 1/50-1/100 |
| ELISA | 1/10000 |
![]() |
Western blot analysis of OX40L in KB lysates using OX40L antibody. |
![]() |
Western blot analysis of OX40L in KB lysates using Ox40L antibody. |
![]() |
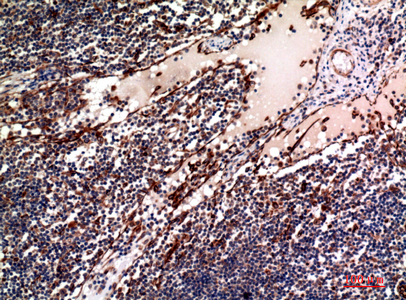
Immunohistochemistry analysis of paraffin-embedded Human lymph using OX40L antibody. High-pressure and temperature Sodium Citrate pH 6.0 was used for antigen retrieval. |
![]() |
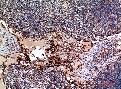
Immunohistochemistry analysis of paraffin-embedded Human lymph using OX40L antibody.High-pressure and temperature Sodium Citrate pH 6.0 was used for antigen retrieval. |
本公司的所有产品仅用于科学研究或者工业应用等非医疗目的,不可用于人类或动物的临床诊断或治疗,非药用,非食用。
暂无评论
本公司的所有产品仅用于科学研究或者工业应用等非医疗目的,不可用于人类或动物的临床诊断或治疗,非药用,非食用。
中文




发表回复