别名:P2X3应用:WB,IHC
反应种属:Human
规格:50μl/100μl
| Description |
|---|
| The product of this gene belongs to the family of purinoceptors for ATP. This receptor functions as a ligand-gated ion channel and may transduce ATP-evoked nociceptor activation. Mouse studies suggest that this receptor is important for peripheral pain responses, and also participates in pathways controlling urinary bladder volume reflexes. It is possible that the development of selective antagonists for this receptor may have a therapeutic potential in pain relief and in the treatment of disorders of urine storage. |
| Specification | |
|---|---|
| Aliases | P2X3 |
| Swissprot | P56373 |
| WB Predicted band size | 44 kDa |
| Host/Isotype | Rabbit IgG |
| Storage | Store at 4°C short term. Aliquot and store at -20°C long term. Avoid freeze/thaw cycles. |
| Species Reactivity | Human |
| Immunogen | Synthetic peptide of human P2RX3 |
| Formulation | pH7.4 PBS, 0.05% NaN3, 40% Glycerol |
| Application | |
|---|---|
| WB | 1/200-1/1000 |
| IHC | 1/25-1/100 |
| ELISA | 1/1000-1/2000 |
![]() |
Gel: 8%SDS-PAGE, Lysate: 40 μg, Lane 1-2: Human bladder tissue, Human bladder transitional cell carcinoma tissue, Primary antibody: P05126(P2RX3 Antibody) at dilution 1/250, Secondary antibody: Goat anti rabbit IgG at 1/8000 dilution, Exposure time: 10 minutes |
![]() |
The image is immunohistochemistry of paraffin-embedded Human thyroid cancer tissue using P05126(P2RX3 Antibody) at dilution 1/50. (Original magnification: ×200) |
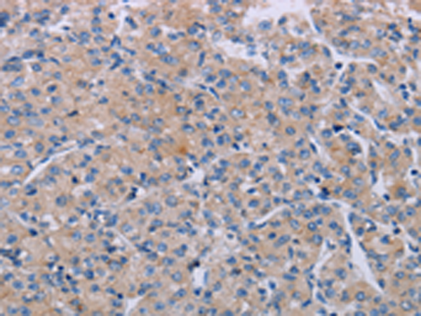
![]() |
The image is immunohistochemistry of paraffin-embedded Human prostate cancer tissue using P05126(P2RX3 Antibody) at dilution 1/50. (Original magnification: ×200) |
本公司的所有产品仅用于科学研究或者工业应用等非医疗目的,不可用于人类或动物的临床诊断或治疗,非药用,非食用。
暂无评论
本公司的所有产品仅用于科学研究或者工业应用等非医疗目的,不可用于人类或动物的临床诊断或治疗,非药用,非食用。
中文



发表回复