别名:P2Y11应用:WB,IHC
反应种属:Human
规格:50μl/100μl
| Description |
|---|
| The product of this gene belongs to the family of G-protein coupled receptors. This family has several receptor subtypes with different pharmacological selectivity, which overlaps in some cases, for various adenosine and uridine nucleotides. This receptor is coupled to the stimulation of the phosphoinositide and adenylyl cyclase pathways and behaves as a selective purinoceptor. Naturally occuring read-through transcripts, resulting from intergenic splicing between this gene and an immediately upstream gene (PPAN, encoding peter pan homolog), have been found. The PPAN-P2RY11 read-through mRNA is ubiquitously expressed and encodes a fusion protein that shares identity with each individual gene product. |
| Specification | |
|---|---|
| Aliases | P2Y11 |
| Swissprot | Q96G91 |
| WB Predicted band size | 40 kDa |
| Host/Isotype | Rabbit IgG |
| Storage | Store at 4°C short term. Aliquot and store at -20°C long term. Avoid freeze/thaw cycles. |
| Species Reactivity | Human |
| Immunogen | Synthetic peptide of human P2RY11 |
| Formulation | pH7.4 PBS, 0.05% NaN3, 40% Glycerol |
| Application | |
|---|---|
| WB | 1/500-1/2000 |
| IHC | 1/25-1/100 |
| ELISA | 1/500-1/1000 |
![]() |
Gel: 8%SDS-PAGE, Lysate: 40 μg, Lane 1-3: Human fetal brain tissue, 293T and Hela cell lysates, Primary antibody: P11263(P2RY11 Antibody) at dilution 1/250, Secondary antibody: Goat anti rabbit IgG at 1/8000 dilution, Exposure time: 1 minute |
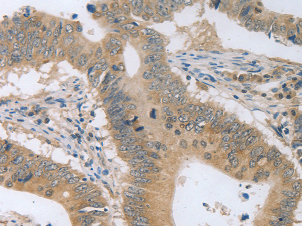
![]() |
The image is immunohistochemistry of paraffin-embedded Human colon cancer tissue using P11263(P2RY11 Antibody) at dilution 1/30. (Original magnification: ×200) |
![]() |
The image is immunohistochemistry of paraffin-embedded Human brain tissue using P11263(P2RY11 Antibody) at dilution 1/30. (Original magnification: ×200) |
本公司的所有产品仅用于科学研究或者工业应用等非医疗目的,不可用于人类或动物的临床诊断或治疗,非药用,非食用。
暂无评论
本公司的所有产品仅用于科学研究或者工业应用等非医疗目的,不可用于人类或动物的临床诊断或治疗,非药用,非食用。
中文



发表回复