别名:Polyadenylate-binding protein 1, PABP-1, Poly(A)-binding protein 1, PABPC1, PAB1, PABP1, PABPC2应用:WB,IHC
反应种属:Human, Mouse
规格:50μl/100μl
| Description |
|---|
| PABPC1 binds the poly(A) tail of mRNA. It may be involved in cytoplasmic regulatory processes of mRNA metabolism such as pre-mRNA splicing. Its function in translational initiation regulation can either be enhanced by PAIP1 or repressed by PAIP2. PABPC1 can probably bind to cytoplasmic RNA sequences other than poly(A) in vivo. It may be involved in translationally coupled mRNA turnover. Implicated with other RNA-binding proteins in the cytoplasmic deadenylation/translational and decay interplay of the FOS mRNA mediated by the major coding-region determinant of instability (mCRD) domain. |
| Specification | |
|---|---|
| Aliases | Polyadenylate-binding protein 1, PABP-1, Poly(A)-binding protein 1, PABPC1, PAB1, PABP1, PABPC2 |
| Entrez GeneID | 26986 |
| Swissprot | P11940 |
| WB Predicted band size | 70.7kDa |
| Host/Isotype | Rabbit IgG |
| Storage | Store at 4°C short term. Aliquot and store at -20°C long term. Avoid freeze/thaw cycles. |
| Species Reactivity | Human, Mouse |
| Immunogen | This PABPC1 antibody is generated from rabbits immunized with a KLH conjugated synthetic peptide between 250-279 amino acids from the Central region of human PABPC1. |
| Formulation | Purified polyclonal antibody supplied in PBS with 0.05% sodium azide. This antibody is prepared by Saturated Ammonium Sulfate (SAS) precipitation followed by dialysis against PBS. |
| Application | |
|---|---|
| WB | 1/1000 |
| IHC | 1/100-1/500 |
![]() |
Western blot analysis of PABPC1 Antibody (Center) (Cat. #P30405) in NIH-3T3 cell line lysates (35ug/lane). PABPC1 (arrow) was detected using the purified Pab. |
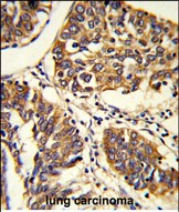
![]() |
Formalin-fixed and paraffin-embedded human lung carcinoma reacted with PABPC1 Antibody (Center), which was peroxidase-conjugated to the secondary antibody, followed by DAB staining. This data demonstrates the use of this antibody for immunohistochemistry; clinical relevance has not been evaluated. |
本公司的所有产品仅用于科学研究或者工业应用等非医疗目的,不可用于人类或动物的临床诊断或治疗,非药用,非食用。
暂无评论
本公司的所有产品仅用于科学研究或者工业应用等非医疗目的,不可用于人类或动物的临床诊断或治疗,非药用,非食用。
中文


发表回复