别名:Pantothenate kinase 1, hPanK, hPanK1, Pantothenic acid kinase 1, PANK1, PANK应用:WB,IHC
反应种属:Human
规格:50μl/100μl
| Description |
|---|
| PANK1 belongs to the pantothenate kinase family. Pantothenate kinase is a key regulatory enzyme in the biosynthesis of coenzyme A (CoA) in bacteria and mammalian cells. It catalyzes the first committed step in the universal biosynthetic pathway leading to CoA and is itself subject to regulation through feedback inhibition by CoA. |
| Specification | |
|---|---|
| Aliases | Pantothenate kinase 1, hPanK, hPanK1, Pantothenic acid kinase 1, PANK1, PANK |
| Entrez GeneID | 53354 |
| Swissprot | Q8TE04 |
| WB Predicted band size | 64.3kDa |
| Host/Isotype | Rabbit IgG |
| Storage | Store at 4°C short term. Aliquot and store at -20°C long term. Avoid freeze/thaw cycles. |
| Species Reactivity | Human |
| Immunogen | This PANK1 antibody is generated from rabbits immunized with a KLH conjugated synthetic peptide between 332-360 amino acids from the Central region of human PANK1. |
| Formulation | Purified polyclonal antibody supplied in PBS with 0.05% sodium azide. This antibody is prepared by Saturated Ammonium Sulfate (SAS) precipitation followed by dialysis against PBS. |
| Application | |
|---|---|
| WB | 1/1000 |
| IHC | 1/100-1/500 |
![]() |
Western blot analysis of anti-PANK1 Pab (Cat. #P30109) in mouse kidney tissue lysate (35ug/lane). PANK1(arrow) was detected using the purified Pab. |
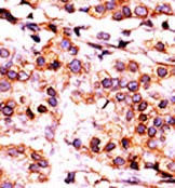
![]() |
Formalin-fixed and paraffin-embedded human cancer tissue reacted with the primary antibody, which was peroxidase-conjugated to the secondary antibody, followed by AEC staining. This data demonstrates the use of this antibody for immunohistochemistry; clinical relevance has not been evaluated. BC = breast carcinoma; HC = hepatocarcinoma. |
本公司的所有产品仅用于科学研究或者工业应用等非医疗目的,不可用于人类或动物的临床诊断或治疗,非药用,非食用。
暂无评论
本公司的所有产品仅用于科学研究或者工业应用等非医疗目的,不可用于人类或动物的临床诊断或治疗,非药用,非食用。
中文


发表回复