别名:IRT1; ARTD3; ADPRT3; ADPRTL2; ADPRTL3; PADPRT-3应用:WB,IHC
反应种属:Human
规格:50μl/100μl
| Description |
|---|
| The protein encoded by this gene belongs to the PARP family. These enzymes modify nuclear proteins by poly-ADP-ribosylation, which is required for DNA repair, regulation of apoptosis, and maintenance of genomic stability. This gene encodes the poly(ADP-ribosyl)transferase 3, which is preferentially localized to the daughter centriole throughout the cell cycle. Alternatively spliced transcript variants encoding different isoforms have been identified. |
| Specification | |
|---|---|
| Aliases | IRT1; ARTD3; ADPRT3; ADPRTL2; ADPRTL3; PADPRT-3 |
| Swissprot | Q9Y6F1 |
| WB Predicted band size | 60 kDa |
| Host/Isotype | Rabbit IgG |
| Storage | Store at 4°C short term. Aliquot and store at -20°C long term. Avoid freeze/thaw cycles. |
| Species Reactivity | Human |
| Immunogen | Synthetic peptide of human PARP3 |
| Formulation | pH7.4 PBS, 0.05% NaN3, 40% Glycerol |
| Application | |
|---|---|
| WB | 1/200-1/1000 |
| IHC | 1/20-1/100 |
| ELISA | 1/5000-1/10000 |
![]() |
Gel: 8%SDS-PAGE, Lysate: 40 μg, Lane: Human cerebrum tissue lysate, Primary antibody: P05138(PARP3 Antibody) at dilution 1/200, Secondary antibody: Goat anti rabbit IgG at 1/8000 dilution, Exposure time: 1 minute |
![]() |
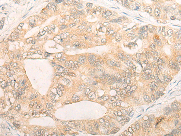
The image is immunohistochemistry of paraffin-embedded Human gastric cancer tissue using P05138(PARP3 Antibody) at dilution 1/20. (Original magnification: ×200) |
![]() |
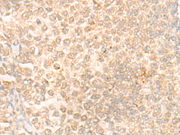
The image is immunohistochemistry of paraffin-embedded Human ovarian cancer tissue using P05138(PARP3 Antibody) at dilution 1/20. (Original magnification: ×200) |
本公司的所有产品仅用于科学研究或者工业应用等非医疗目的,不可用于人类或动物的临床诊断或治疗,非药用,非食用。
暂无评论
本公司的所有产品仅用于科学研究或者工业应用等非医疗目的,不可用于人类或动物的临床诊断或治疗,非药用,非食用。
中文



发表回复