别名:PH5P; p193; ARTD4; PARPL; VPARP; VWA5C; PARP-4; VAULT3; ADPRTL1应用:IHC
反应种属:Human
规格:50μl/100μl
| Description |
|---|
| This gene encodes poly(ADP-ribosyl)transferase-like 1 protein, which is capable of catalyzing a poly(ADP-ribosyl)ation reaction. This protein has a catalytic domain which is homologous to that of poly (ADP-ribosyl) transferase, but lacks an N-terminal DNA binding domain which activates the C-terminal catalytic domain of poly (ADP-ribosyl) transferase. Since this protein is not capable of binding DNA directly, its transferase activity may be activated by other factors such as protein-protein interaction mediated by the extensive carboxyl terminus. |
| Specification | |
|---|---|
| Aliases | PH5P; p193; ARTD4; PARPL; VPARP; VWA5C; PARP-4; VAULT3; ADPRTL1 |
| Swissprot | Q9UKK3 |
| Host/Isotype | Rabbit IgG |
| Storage | Store at 4°C short term. Aliquot and store at -20°C long term. Avoid freeze/thaw cycles. |
| Species Reactivity | Human |
| Immunogen | Synthetic peptide of human PARP4 |
| Formulation | pH7.4 PBS, 0.05% NaN3, 40% Glycerol |
| Application | |
|---|---|
| IHC | 1/50-1/200 |
| ELISA | 1/5000-1/10000 |
![]() |
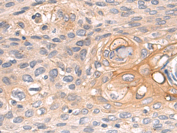
The image is immunohistochemistry of paraffin-embedded Human cervical cancer tissue using P12021(PARP4 Antibody) at dilution 1/50. (Original magnification: ×200) |
![]() |
The image is immunohistochemistry of paraffin-embedded Human esophagus cancer tissue using P12021(PARP4 Antibody) at dilution 1/50. (Original magnification: ×200) |
本公司的所有产品仅用于科学研究或者工业应用等非医疗目的,不可用于人类或动物的临床诊断或治疗,非药用,非食用。
暂无评论
本公司的所有产品仅用于科学研究或者工业应用等非医疗目的,不可用于人类或动物的临床诊断或治疗,非药用,非食用。
中文


发表回复