别名:UC28; UROC28; dJ171N11.2应用:WB,IHC
反应种属:Human
规格:50μl/100μl
| Description |
|---|
| UROC28, also known as PBOV1 (prostate and breast cancer overexpressed 1) or UC28, is a 135 amino acid cytoplasmic and nuclear protein that is expressed in colon, prostate, small intestine, testis and spleen, with lower expression in thymus, ovary and peripheral blood leukocytes. UROC28 is up-regulated in prostate, breast and bladder cancer, and is thereby considered a useful target for diagnosis and treatment of these cancers. UROC28 is encoded by a gene located on human chromosome 6, which contains 170 million base pairs and comprises nearly 6% of the human genome. Deletion of a portion of the q arm of chromosome 6 is associated with early onset intestinal cancer, suggesting the presence of a cancer susceptibility locus. Additionally, Porphyria cutanea tarda, Parkinson’s disease, Stickler syndrome and a susceptibility to bipolar disorder are all associated with genes that map to chromosome 6. |
| Specification | |
|---|---|
| Aliases | UC28; UROC28; dJ171N11.2 |
| Swissprot | Q9GZY1 |
| WB Predicted band size | 16 kDa |
| Host/Isotype | Rabbit IgG |
| Storage | Store at 4°C short term. Aliquot and store at -20°C long term. Avoid freeze/thaw cycles. |
| Species Reactivity | Human |
| Immunogen | Synthetic peptide of human PBOV1 |
| Formulation | pH7.4 PBS, 0.05% NaN3, 40% Glycerol |
| Application | |
|---|---|
| WB | 1/200-1/1000 |
| IHC | 1/10-1/50 |
| ELISA | 1/5000-1/10000 |
![]() |
Gel: 12%SDS-PAGE, Lysate: 40 μg, Lane: Human fetal intestines tissue lysate, Primary antibody: P12026(PBOV1 Antibody) at dilution 1/300, Secondary antibody: Goat anti rabbit IgG at 1/8000 dilution, Exposure time: 1 minute |
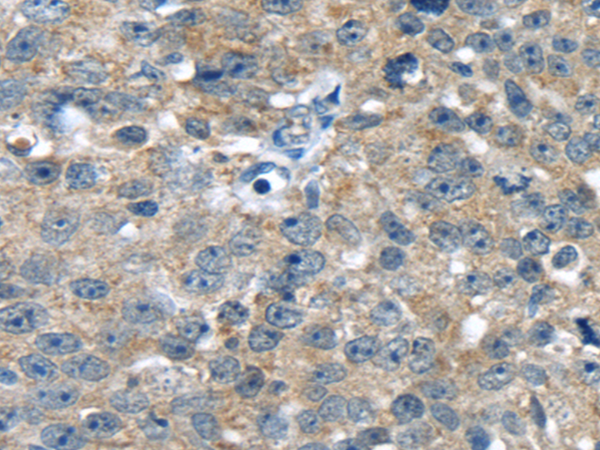
![]() |
The image is immunohistochemistry of paraffin-embedded Human breast cancer tissue using P12026(PBOV1 Antibody) at dilution 1/20. (Original magnification: ×200) |
本公司的所有产品仅用于科学研究或者工业应用等非医疗目的,不可用于人类或动物的临床诊断或治疗,非药用,非食用。
暂无评论
本公司的所有产品仅用于科学研究或者工业应用等非医疗目的,不可用于人类或动物的临床诊断或治疗,非药用,非食用。
中文


发表回复