别名:HPIP应用:WB,IHC
反应种属:Human
规格:50μl/100μl
| Description |
|---|
| The protein encoded by this gene interacts with the PBX1 homeodomain protein, inhibiting its transcriptional activation potential by preventing its binding to DNA. The encoded protein, which is primarily cytosolic but can shuttle to the nucleus, also can interact with estrogen receptors alpha and beta and promote the proliferation of breast cancer, brain tumors, and lung cancer. Several transcript variants encoding different isoforms have been found for this gene. More variants exist, but their full-length natures have yet to be determined. |
| Specification | |
|---|---|
| Aliases | HPIP |
| Swissprot | Q96AQ6 |
| WB Predicted band size | 81 kDa |
| Host/Isotype | Rabbit IgG |
| Storage | Store at 4°C short term. Aliquot and store at -20°C long term. Avoid freeze/thaw cycles. |
| Species Reactivity | Human |
| Immunogen | Fusion protein of human PBXIP1 |
| Formulation | pH7.4 PBS, 0.05% NaN3, 40% Glycerol |
| Application | |
|---|---|
| WB | 1/200-1/1000 |
| IHC | 1/30-1/150 |
| ELISA | 1/5000-1/10000 |
![]() |
Gel: 6%SDS-PAGE, Lysate: 40 μg, Lane 1-3: PC3, A549 and Hela cell lysates, Primary antibody: P02793(PBXIP1 Antibody) at dilution 1/250, Secondary antibody: Goat anti rabbit IgG at 1/5000 dilution, Exposure time: 20 seconds |
![]() |
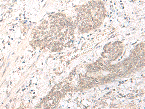
The image is immunohistochemistry of paraffin-embedded Human esophagus cancer tissue using P02793(PBXIP1 Antibody) at dilution 1/40. (Original magnification: ×200) |
![]() |
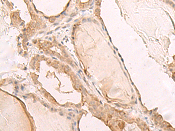
The image is immunohistochemistry of paraffin-embedded Human thyroid cancer tissue using P02793(PBXIP1 Antibody) at dilution 1/40. (Original magnification: ×200) |
本公司的所有产品仅用于科学研究或者工业应用等非医疗目的,不可用于人类或动物的临床诊断或治疗,非药用,非食用。
暂无评论
本公司的所有产品仅用于科学研究或者工业应用等非医疗目的,不可用于人类或动物的临床诊断或治疗,非药用,非食用。
中文



发表回复