别名:Protocadherin alpha-8, PCDH-alpha-8, PCDHA8应用:WB,IHC,ICC
反应种属:Human
规格:50μl/100μl
| Description |
|---|
| This gene is a member of the protocadherin alpha gene cluster, one of three related gene clusters tandemly linked on chromosome five that demonstrate an unusual genomic organization similar to that of B-cell and T-cell receptor gene clusters. The alpha gene cluster is composed of 15 cadherin superfamily genes related to the mouse CNR genes and consists of 13 highly similar and 2 more distantly related coding sequences. The tandem array of 15 N-terminal exons, or variable exons, are followed by downstream C-terminal exons, or constant exons, which are shared by all genes in the cluster. The large, uninterrupted N-terminal exons each encode six cadherin ectodomains while the C-terminal exons encode the cytoplasmic domain. These neural cadherin-like cell adhesion proteins are integral plasma membrane proteins that most likely play a critical role in the establishment and function of specific cell-cell connections in the brain. Alternative splicing has been observed and additional variants have been suggested but their full-length nature has yet to be determined. |
| Specification | |
|---|---|
| Aliases | Protocadherin alpha-8, PCDH-alpha-8, PCDHA8 |
| Entrez GeneID | 56140 |
| Swissprot | Q9Y5H6 |
| WB Predicted band size | 103.1kDa |
| Host/Isotype | Rabbit IgG |
| Storage | Store at 4°C short term. Aliquot and store at -20°C long term. Avoid freeze/thaw cycles. |
| Species Reactivity | Human |
| Immunogen | This PCDHA8 antibody is generated from rabbits immunized with a KLH conjugated synthetic peptide between 773-800 amino acids from the C-terminal region of human PCDHA8. |
| Formulation | Purified polyclonal antibody supplied in PBS with 0.05% sodium azide. This antibody is purified through a protein A column, followed by peptide affinity purification. |
| Application | |
|---|---|
| WB | 1/1000 |
| IHC | 1/100-1/500 |
| ICC | 1/10-1/50 |
![]() |
PCDHA8 Antibody (C-term) (Cat. #P31029) western blot analysis in ZR-75-1 cell line lysates (35ug/lane).This demonstrates the PCDHA8 antibody detected the PCDHA8 protein (arrow). |
![]() |
Confocal immunofluorescent analysis of PCDHA8 Antibody (C-term)(Cat#P31029) with ZR-75-1 cell followed by Alexa Fluor 488-conjugated goat anti-rabbit lgG (green). DAPI was used to stain the cell nuclear (blue). |
![]() |
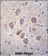
PCDHA8 Antibody (C-term) (Cat. #P31029)immunohistochemistry analysis in formalin fixed and paraffin embedded human brain tissue followed by peroxidase conjugation of the secondary antibody and DAB staining.This data demonstrates the use of PCDHA8 Antibody (C-term) for immunohistochemistry. Clinical relevance has not been evaluated. |
本公司的所有产品仅用于科学研究或者工业应用等非医疗目的,不可用于人类或动物的临床诊断或治疗,非药用,非食用。
暂无评论
本公司的所有产品仅用于科学研究或者工业应用等非医疗目的,不可用于人类或动物的临床诊断或治疗,非药用,非食用。
中文



发表回复