别名:Protocadherin gamma-A8, PCDH-gamma-A8, PCDHGA8, KIAA0327应用:WB,IHC,ICC
反应种属:Human
规格:50μl/100μl
| Description |
|---|
| This gene is a member of the protocadherin gamma gene cluster, one of three related clusters tandemly linked on chromosome five. These gene clusters have an immunoglobulin-like organization, suggesting that a novel mechanism may be involved in their regulation and expression. The gamma gene cluster includes 22 genes divided into 3 subfamilies. Subfamily A contains 12 genes, subfamily B contains 7 genes and 2 pseudogenes, and the more distantly related subfamily C contains 3 genes. The tandem array of 22 large, variable region exons are followed by a constant region, containing 3 exons shared by all genes in the cluster. Each variable region exon encodes the extracellular region, which includes 6 cadherin ectodomains and a transmembrane region. The constant region exons encode the common cytoplasmic region. These neural cadherin-like cell adhesion proteins most likely play a critical role in the establishment and function of specific cell-cell connections in the brain. Alternative splicing has been described for the gamma cluster genes. |
| Specification | |
|---|---|
| Aliases | Protocadherin gamma-A8, PCDH-gamma-A8, PCDHGA8, KIAA0327 |
| Entrez GeneID | 9708 |
| Swissprot | Q9Y5G5 |
| WB Predicted band size | 101.5kDa |
| Host/Isotype | Rabbit IgG |
| Storage | Store at 4°C short term. Aliquot and store at -20°C long term. Avoid freeze/thaw cycles. |
| Species Reactivity | Human |
| Immunogen | This PCDHGA8 antibody is generated from rabbits immunized with a KLH conjugated synthetic peptide between 781-808 amino acids from the C-terminal region of human PCDHGA8. |
| Formulation | Purified polyclonal antibody supplied in PBS with 0.05% sodium azide. This antibody is purified through a protein A column, followed by peptide affinity purification. |
| Application | |
|---|---|
| WB | 1/1000 |
| IHC | 1/100-1/500 |
| ICC | 1/10-1/50 |
![]() |
PCDHGA8 Antibody (C-term) (Cat. #P31028) western blot analysis in K562 cell line lysates (35ug/lane).This demonstrates the PCDHGA8 antibody detected the PCDHGA8 protein (arrow). |
![]() |
Confocal immunofluorescent analysis of PCDHGA8 Antibody (C-term)(Cat#P31028) with U-251MG cell followed by Alexa Fluor 488-conjugated goat anti-rabbit lgG (green). DAPI was used to stain the cell nuclear (blue). |
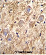
![]() |
PCDHGA8 Antibody (C-term) (Cat. #P31028)immunohistochemistry analysis in formalin fixed and paraffin embedded human brain tissue followed by peroxidase conjugation of the secondary antibody and DAB staining.This data demonstrates the use of PCDHGA8 Antibody (C-term) for immunohistochemistry. Clinical relevance has not been evaluated. |
本公司的所有产品仅用于科学研究或者工业应用等非医疗目的,不可用于人类或动物的临床诊断或治疗,非药用,非食用。
暂无评论
本公司的所有产品仅用于科学研究或者工业应用等非医疗目的,不可用于人类或动物的临床诊断或治疗,非药用,非食用。
中文



发表回复