别名:Prenylcysteine oxidase-like, 183-, PCYOX1L应用:WB,IHC
反应种属:Human, Mouse
规格:50μl/100μl
| Description |
|---|
| Probable oxidoreductase (By similarity). |
| Specification | |
|---|---|
| Aliases | Prenylcysteine oxidase-like, 183-, PCYOX1L |
| Entrez GeneID | 78991 |
| Swissprot | Q8NBM8 |
| WB Predicted band size | 54.6kDa |
| Host/Isotype | Rabbit IgG |
| Storage | Store at 4°C short term. Aliquot and store at -20°C long term. Avoid freeze/thaw cycles. |
| Species Reactivity | Human, Mouse |
| Immunogen | This PCYXL antibody is generated from rabbits immunized with a KLH conjugated synthetic peptide between 465-494 amino acids from the C-terminal region of human PCYXL. |
| Formulation | Purified polyclonal antibody supplied in PBS with 0.05% sodium azide. This antibody is purified through a protein A column, followed by peptide affinity purification. |
| Application | |
|---|---|
| WB | 1/1000 |
| IHC | 1/100-1/500 |
![]() |
PCYXL Antibody (C-term) (Cat. #P30702) western blot analysis in mouse liver tissue lysates (15ug/lane).This demonstrates the PCYXL antibody detected PCYXL protein (arrow). |
![]() |
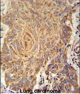
PCYXL Antibody (C-term) (Cat. #P30702) immunohistochemistry analysis in formalin fixed and paraffin embedded human Lung carcinoma followed by peroxidase conjugation of the secondary antibody and DAB staining. This data demonstrates the use of the PCYXL Antibody (C-term) for immunohistochemistry. Clinical relevance has not been evaluated. |
本公司的所有产品仅用于科学研究或者工业应用等非医疗目的,不可用于人类或动物的临床诊断或治疗,非药用,非食用。
暂无评论
本公司的所有产品仅用于科学研究或者工业应用等非医疗目的,不可用于人类或动物的临床诊断或治疗,非药用,非食用。
中文


发表回复