别名:PDED; JBTS22应用:WB,IHC
反应种属:Human, Mouse
规格:50μl/100μl
| Description |
|---|
| This gene encodes the delta subunit of rod-specific photoreceptor phosphodiesterase (PDE), a key enzyme in the phototransduction cascade. A similar protein in cow functions in solubilizing membrane-bound PDE. In addition to its role in the PDE complex, the encoded protein is thought to bind to prenyl groups of proteins to target them to subcellular organelles called cilia. Mutations in this gene are associated with Joubert syndrome-22. Alternative splicing results in multiple splice variants. |
| Specification | |
|---|---|
| Aliases | PDED; JBTS22 |
| Swissprot | O43924 |
| WB Predicted band size | 17 kDa |
| Host/Isotype | Rabbit IgG |
| Storage | Store at 4°C short term. Aliquot and store at -20°C long term. Avoid freeze/thaw cycles. |
| Species Reactivity | Human, Mouse |
| Immunogen | Fusion protein of human PDE6D |
| Formulation | pH7.4 PBS, 0.05% NaN3, 40% Glycerol |
| Application | |
|---|---|
| WB | 1/500-1/2000 |
| IHC | 1/50-1/200 |
| ELISA | 1/5000-1/10000 |
![]() |
Gel: 12%SDS-PAGE, Lysate: 40 μg, Lane 1-2: Jurkat cell, Mouse brain tissue lysates, Primary antibody: P03254(PDE6D Antibody) at dilution 1/800, Secondary antibody: Goat anti rabbit IgG at 1/5000 dilution, Exposure time: 20 seconds |
![]() |
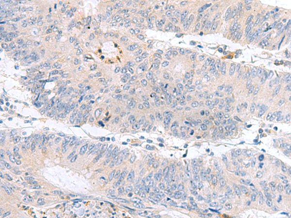
The image is immunohistochemistry of paraffin-embedded Human colorectal cancer tissue using P03254(PDE6D Antibody) at dilution 1/60. (Original magnification: ×200) |
![]() |
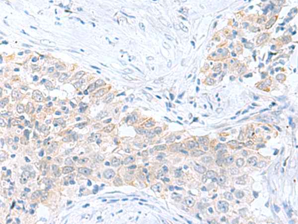
The image is immunohistochemistry of paraffin-embedded Human esophagus cancer tissue using P03254(PDE6D Antibody) at dilution 1/60. (Original magnification: ×200) |
本公司的所有产品仅用于科学研究或者工业应用等非医疗目的,不可用于人类或动物的临床诊断或治疗,非药用,非食用。
暂无评论
本公司的所有产品仅用于科学研究或者工业应用等非医疗目的,不可用于人类或动物的临床诊断或治疗,非药用,非食用。
中文



发表回复