别名:High affinity cAMP-specific and IBMX-insensitive 3′,5′-cyclic phosphodiesterase 8A, PDE8A应用:WB,IHC
反应种属:Human
规格:50μl/100μl
| Description |
|---|
| PDE8A plays a role in signal transduction by regulating the intracellular concentration of cyclic nucleotides. This phosphodiesterase, which has a high affinity for cAMP, may be involved in maintaining basal levels of the cyclic nucleotide and/or in the cAMP regulation of germ cell development. |
| Specification | |
|---|---|
| Aliases | High affinity cAMP-specific and IBMX-insensitive 3′,5′-cyclic phosphodiesterase 8A, PDE8A |
| Entrez GeneID | 5151 |
| Swissprot | O60658 |
| WB Predicted band size | 93.3kDa |
| Host/Isotype | Rabbit IgG |
| Storage | Store at 4°C short term. Aliquot and store at -20°C long term. Avoid freeze/thaw cycles. |
| Species Reactivity | Human |
| Immunogen | This PDE8A antibody is generated from rabbits immunized with a KLH conjugated synthetic peptide between 557-587 amino acids from the Central region of human PDE8A. |
| Formulation | Purified polyclonal antibody supplied in PBS with 0.05% sodium azide. This antibody is purified through a protein A column, eluted with high and low pH buffers and neutralized immediately, followed by dialysis against PBS. |
| Application | |
|---|---|
| WB | 1/1000 |
| IHC | 1/100-1/500 |
![]() |
Western blot analysis of PDE8A Antibody (Center) (L572) (Cat# P30196) in HL60 cell line lysates (35ug/lane). PDE8A (arrow) was detected using the purified Pab. |
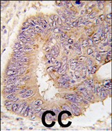
![]() |
Formalin-fixed and paraffin-embedded human colon carcinoma tissue reacted with PDE8A antibody (Center) (L572)(Cat.#P30196), which was peroxidase-conjugated to the secondary antibody, followed by DAB staining. This data demonstrates the use of this antibody for immunohistochemistry; clinical relevance has not been evaluated. |
本公司的所有产品仅用于科学研究或者工业应用等非医疗目的,不可用于人类或动物的临床诊断或治疗,非药用,非食用。
暂无评论
本公司的所有产品仅用于科学研究或者工业应用等非医疗目的,不可用于人类或动物的临床诊断或治疗,非药用,非食用。
中文


发表回复