别名:SIS; SSV; IBGC5; PDGF2; c-sis; PDGF-2应用:WB,IHC
反应种属:Human, Mouse, Rat
规格:50μl/100μl
| Description |
|---|
| This gene encodes a member of the protein family comprised of both platelet-derived growth factors (PDGF) and vascular endothelial growth factors (VEGF). The encoded preproprotein is proteolytically processed to generate platelet-derived growth factor subunit B, which can homodimerize, or alternatively, heterodimerize with the related platelet-derived growth factor subunit A. These proteins bind and activate PDGF receptor tyrosine kinases, which play a role in a wide range of developmental processes. Mutations in this gene are associated with meningioma. Reciprocal translocations between chromosomes 22 and 17, at sites where this gene and that for collagen type 1, alpha 1 are located, are associated with dermatofibrosarcoma protuberans, a rare skin tumor. Alternative splicing results in multiple transcript variants. |
| Specification | |
|---|---|
| Aliases | SIS; SSV; IBGC5; PDGF2; c-sis; PDGF-2 |
| Swissprot | P01127 |
| WB Predicted band size | 27 kDa |
| Host/Isotype | Rabbit IgG |
| Storage | Store at 4°C short term. Aliquot and store at -20°C long term. Avoid freeze/thaw cycles. |
| Species Reactivity | Human, Mouse, Rat |
| Immunogen | Fusion protein of human PDGFB |
| Formulation | pH7.4 PBS, 0.05% NaN3, 40% Glycerol |
| Application | |
|---|---|
| WB | 1/500-1/2000 |
| IHC | 1/50-1/200 |
| ELISA | 1/5000-1/10000 |
![]() |
Gel: 12%SDS-PAGE, Lysate: 40 μg, Lane: Hela cell lysate, Primary antibody: P02733(PDGFB Antibody) at dilution 1/600, Secondary antibody: Goat anti rabbit IgG at 1/5000 dilution, Exposure time: 5 minutes |
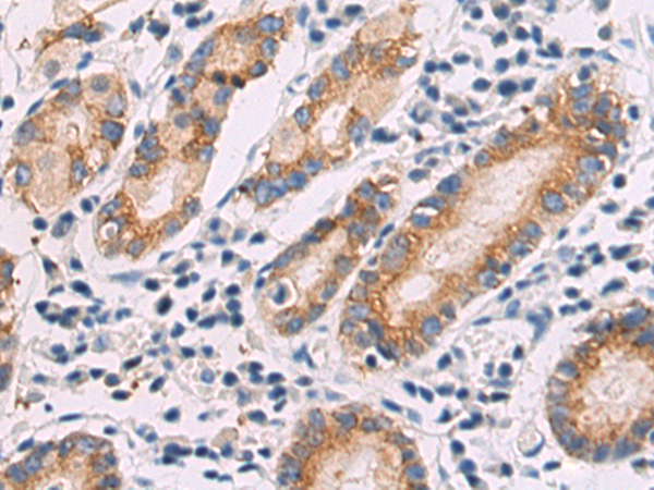
![]() |
The image is immunohistochemistry of paraffin-embedded Human gastric cancer tissue using P02733(PDGFB Antibody) at dilution 1/50. (Original magnification: ×200) |
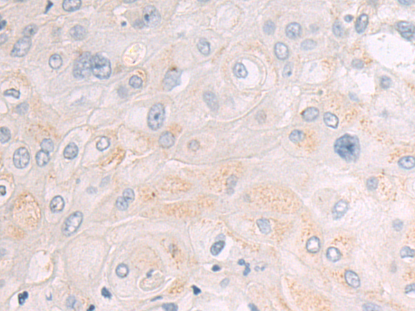
![]() |
The image is immunohistochemistry of paraffin-embedded Human esophagus cancer tissue using P02733(PDGFB Antibody) at dilution 1/50. (Original magnification: ×200) |
本公司的所有产品仅用于科学研究或者工业应用等非医疗目的,不可用于人类或动物的临床诊断或治疗,非药用,非食用。
暂无评论
本公司的所有产品仅用于科学研究或者工业应用等非医疗目的,不可用于人类或动物的临床诊断或治疗,非药用,非食用。
中文



发表回复