别名:Pyruvate dehydrogenase E1 component subunit alpha, testis-specific form, mitochondrial, PDHE1-A type II, PDHA2, PDHAL应用:WB,IHC
反应种属:Human
规格:50μl/100μl
| Description |
|---|
| The pyruvate dehydrogenase complex catalyzes the overall conversion of pyruvate to acetyl-CoA and CO(2). It contains multiple copies of three enzymatic components: pyruvate dehydrogenase (E1), dihydrolipoamide acetyltransferase (E2) and lipoamide dehydrogenase (E3). |
| Specification | |
|---|---|
| Aliases | Pyruvate dehydrogenase E1 component subunit alpha, testis-specific form, mitochondrial, PDHE1-A type II, PDHA2, PDHAL |
| Entrez GeneID | 5161 |
| Swissprot | P29803 |
| WB Predicted band size | 42.9kDa |
| Host/Isotype | Rabbit IgG |
| Storage | Store at 4°C short term. Aliquot and store at -20°C long term. Avoid freeze/thaw cycles. |
| Species Reactivity | Human |
| Immunogen | This PDHA2 antibody is generated from rabbits immunized with a KLH conjugated synthetic peptide between 287-314 amino acids from the Central region of human PDHA2. |
| Formulation | Purified polyclonal antibody supplied in PBS with 0.05% sodium azide. This antibody is purified through a protein A column, followed by peptide affinity purification. |
| Application | |
|---|---|
| WB | 1/1000 |
| IHC | 1/100-1/500 |
![]() |
PDHA2 Antibody (Center) (Cat. #P30842) western blot analysis in NCI-H460 cell line lysates (35ug/lane).This demonstrates the PDHA2 antibody detected the PDHA2 protein (arrow). |
![]() |
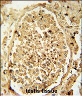
PDHA2 antibody (Center) (Cat. #P30842) immunohistochemistry analysis in formalin fixed and paraffin embedded human testis tissue followed by peroxidase conjugation of the secondary antibody and DAB staining. This data demonstrates the use of the PDHA2 antibody (Center) for immunohistochemistry. Clinical relevance has not been evaluated. |
本公司的所有产品仅用于科学研究或者工业应用等非医疗目的,不可用于人类或动物的临床诊断或治疗,非药用,非食用。
暂无评论
本公司的所有产品仅用于科学研究或者工业应用等非医疗目的,不可用于人类或动物的临床诊断或治疗,非药用,非食用。
中文


发表回复