别名:PDI, PDA2, PDIP, PDIR应用:IHC
反应种属:Human
规格:50μl/100μl
| Description |
|---|
| Protein disulfide isomerases (EC 5.3.4.1), such as PDIP, are endoplasmic reticulum (ER) resident proteins that catalyze protein folding and thiol-disulfide interchange reactions |
| Specification | |
|---|---|
| Aliases | PDI, PDA2, PDIP, PDIR |
| Swissprot | Q13087 |
| Host/Isotype | Rabbit IgG |
| Storage | Store at 4°C short term. Aliquot and store at -20°C long term. Avoid freeze/thaw cycles. |
| Species Reactivity | Human |
| Immunogen | Synthetic peptide of human PDIA2 |
| Formulation | pH7.4 PBS, 0.05% NaN3, 40% Glycerol |
| Application | |
|---|---|
| IHC | 1/50-1/200 |
| ELISA | 1/2000-1/10000 |
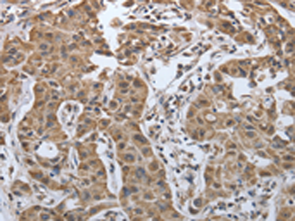
![]() |
The image is immunohistochemistry of paraffin-embedded Human ovarian cancer tissue using P11315(PDIA2 Antibody) at dilution 1/50. (Original magnification: ×200) |
![]() |
The image is immunohistochemistry of paraffin-embedded Human lung cancer tissue using P11315(PDIA2 Antibody) at dilution 1/50. (Original magnification: ×200) |
本公司的所有产品仅用于科学研究或者工业应用等非医疗目的,不可用于人类或动物的临床诊断或治疗,非药用,非食用。
暂无评论
本公司的所有产品仅用于科学研究或者工业应用等非医疗目的,不可用于人类或动物的临床诊断或治疗,非药用,非食用。
中文


发表回复