别名:Protein disulfide-isomerase A3, 58 kDa glucose-regulated protein, 58 kDa microsomal protein, p58, Disulfide isomerase ER-60, Endoplasmic reticulum resident protein 57, ER protein 57, ERp57, Endoplasmic reticulum resident protein 60, ER protein 60, ERp60, PDIA3, ERP57, ERP60, GRP58应用:WB,IHC,FCM
反应种属:Human
规格:50μl/100μl
| Description |
|---|
| PDIA3 is the endoplasmic reticulum that interacts with lectin chaperones calreticulin and calnexin to modulate folding of newly synthesized glycoproteins. The protein was once thought to be a phospholipase; however, it has been demonstrated that the protein actually has protein disulfide isomerase activity. It is thought that complexes of lectins and this protein mediate protein folding by promoting formation of disulfide bonds in their glycoprotein substrates. |
| Specification | |
|---|---|
| Aliases | Protein disulfide-isomerase A3, 58 kDa glucose-regulated protein, 58 kDa microsomal protein, p58, Disulfide isomerase ER-60, Endoplasmic reticulum resident protein 57, ER protein 57, ERp57, Endoplasmic reticulum resident protein 60, ER protein 60, ERp60, PDIA3, ERP57, ERP60, GRP58 |
| Entrez GeneID | 2923 |
| Swissprot | P30101 |
| WB Predicted band size | 56.8kDa |
| Host/Isotype | Rabbit IgG |
| Storage | Store at 4°C short term. Aliquot and store at -20°C long term. Avoid freeze/thaw cycles. |
| Species Reactivity | Human |
| Immunogen | This PDIA3 antibody is generated from rabbits immunized with a KLH conjugated synthetic peptide between 192-220 amino acids from the Central region of human PDIA3. |
| Formulation | Purified polyclonal antibody supplied in PBS with 0.05% sodium azide. This antibody is prepared by Saturated Ammonium Sulfate (SAS) precipitation followed by dialysis against PBS. |
| Application | |
|---|---|
| WB | 1/1000 |
| IHC | 1/100-1/500 |
| FCM | 1/10-1/50 |
![]() |
Western blot analysis of PDIA3 Antibody (Center) (Cat. #P30406) in A2058, A375, Ramos cell line lysates (35ug/lane). PDIA3 (arrow) was detected using the purified Pab.(2ug/ml) |
![]() |
Western blot analysis of PDIA3 (arrow) using rabbit polyclonal PDIA3 Antibody (Center) (Cat. #P30406). 293 cell lysates (2 ug/lane) either nontransfected (Lane 1) or transiently transfected with the PDIA3 gene (Lane 2) . |
![]() |
Flow cytometric analysis of widr cells using PDIA3 Antibody (Center)(bottom histogram) compared to a negative control cell (top histogram)FITC-conjugated goat-anti-rabbit secondary antibodies were used for the analysis. |
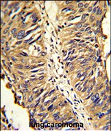
![]() |
Formalin-fixed and paraffin-embedded human lung carcinoma reacted with PDIA3 Antibody (Center), which was peroxidase-conjugated to the secondary antibody, followed by DAB staining. This data demonstrates the use of this antibody for immunohistochemistry; clinical relevance has not been evaluated. |
本公司的所有产品仅用于科学研究或者工业应用等非医疗目的,不可用于人类或动物的临床诊断或治疗,非药用,非食用。
暂无评论
本公司的所有产品仅用于科学研究或者工业应用等非医疗目的,不可用于人类或动物的临床诊断或治疗,非药用,非食用。
中文




发表回复