别名:PLMT; PNMT; PEAMT; PEMPT; PEMT2应用:WB,IHC
反应种属:Human, Mouse
规格:50μl/100μl
| Description |
|---|
| Phosphatidylcholine (PC) is the most abundant mammalian phospholipid. This gene encodes an enzyme which converts phosphatidylethanolamine to phosphatidylcholine by sequential methylation in the liver. Another distinct synthetic pathway in nucleated cells converts intracellular choline to phosphatidylcholine by a three-step process. The protein isoforms encoded by this gene localize to the endoplasmic reticulum and mitochondria-associated membranes. Alternate splicing of this gene results in multiple transcript variants encoding different isoforms. |
| Specification | |
|---|---|
| Aliases | PLMT; PNMT; PEAMT; PEMPT; PEMT2 |
| Swissprot | Q9UBM1 |
| WB Predicted band size | 22 kDa |
| Host/Isotype | Rabbit IgG |
| Storage | Store at 4°C short term. Aliquot and store at -20°C long term. Avoid freeze/thaw cycles. |
| Species Reactivity | Human, Mouse |
| Immunogen | Synthetic peptide of human PEMT |
| Formulation | pH7.4 PBS, 0.05% NaN3, 40% Glycerol |
| Application | |
|---|---|
| WB | 1/1000-1/5000 |
| IHC | 1/30-1/150 |
| ELISA | 1/5000-1/10000 |
![]() |
Gel: 12%SDS-PAGE, Lysate: 40 μg, Lane 1-4: Mouse liver tissue, HepG2, 293T and 231 cell lysates, Primary antibody: P06778(PEMT Antibody) at dilution 1/800, Secondary antibody: Goat anti rabbit IgG at 1/8000 dilution, Exposure time: 1 second |
![]() |
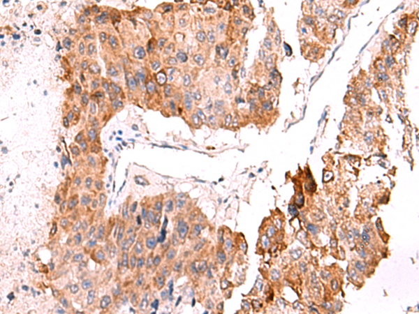
The image is immunohistochemistry of paraffin-embedded Human liver cancer tissue using P06778(PEMT Antibody) at dilution 1/35. (Original magnification: ×200) |
![]() |
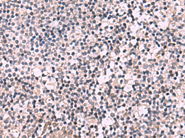
The image is immunohistochemistry of paraffin-embedded Human tonsil tissue using P06778(PEMT Antibody) at dilution 1/35. (Original magnification: ×200) |
本公司的所有产品仅用于科学研究或者工业应用等非医疗目的,不可用于人类或动物的临床诊断或治疗,非药用,非食用。
暂无评论
本公司的所有产品仅用于科学研究或者工业应用等非医疗目的,不可用于人类或动物的临床诊断或治疗,非药用,非食用。
中文



发表回复