别名:NAPP2; PBD13A; Pex14p; dJ734G22.2应用:WB,IHC
反应种属:Human, Mouse, Rat
规格:50μl/100μl
| Description |
|---|
| This gene encodes an essential component of the peroxisomal import machinery. The protein is integrated into peroxisome membranes with its C-terminus exposed to the cytosol, and interacts with the cytosolic receptor for proteins containing a PTS1 peroxisomal targeting signal. The protein also functions as a transcriptional corepressor and interacts with a histone deacetylase. A mutation in this gene results in one form of Zellweger syndrome. |
| Specification | |
|---|---|
| Aliases | NAPP2; PBD13A; Pex14p; dJ734G22.2 |
| Swissprot | O75381 |
| WB Predicted band size | 41 kDa |
| Host/Isotype | Rabbit IgG |
| Storage | Store at 4°C short term. Aliquot and store at -20°C long term. Avoid freeze/thaw cycles. |
| Species Reactivity | Human, Mouse, Rat |
| Immunogen | Synthetic peptide of human PEX14 |
| Formulation | pH7.4 PBS, 0.05% NaN3, 40% Glycerol |
| Application | |
|---|---|
| WB | 1/500-1/2000 |
| IHC | 1/50-1/200 |
| ELISA | 1/5000-1/10000 |
![]() |
Gel: 8%SDS-PAGE, Lysate: 40 μg, Lane 1-7: SKOV3, C2C12, RAW264.7, NIH/3T3, Hela, A431, 293T cell lysates, Primary antibody: P13785(PEX14 Antibody) at dilution 1/400, Secondary antibody: Goat anti rabbit IgG at 1/5000 dilution, Exposure time: 15 seconds |
![]() |
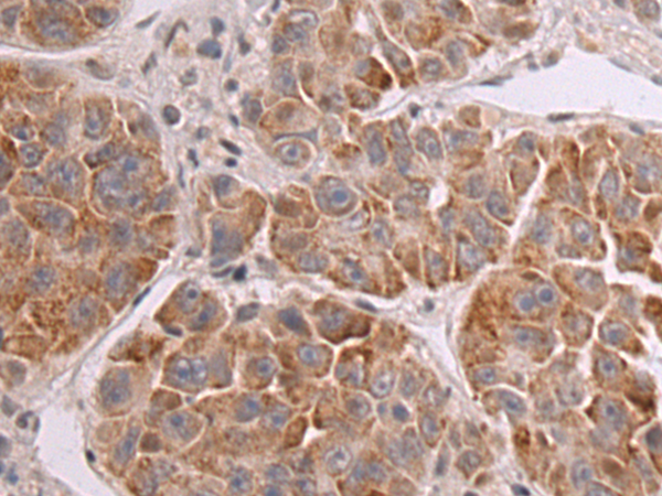
The image is immunohistochemistry of paraffin-embedded Human liver cancer tissue using P13785(PEX14 Antibody) at dilution 1/50. (Original magnification: ×200) |
本公司的所有产品仅用于科学研究或者工业应用等非医疗目的,不可用于人类或动物的临床诊断或治疗,非药用,非食用。
暂无评论
本公司的所有产品仅用于科学研究或者工业应用等非医疗目的,不可用于人类或动物的临床诊断或治疗,非药用,非食用。
中文


发表回复