别名:HKE2; KE-2; PFD6; H2-KE2应用:WB,IHC
反应种属:Human, Mouse
规格:50μl/100μl
| Description |
|---|
| PFDN6 is a subunit of the heteromeric prefoldin complex that chaperones nascent actin (see MIM 102560) and alpha- and beta-tubulin (see MIM 602529 and MIM 191130, respectively) chains pending their transfer to the cytosolic chaperonin containing TCP1 (MIM 186980) (CCT) complex (Hansen et al., 1999 [PubMed 10209023]). |
| Specification | |
|---|---|
| Aliases | HKE2; KE-2; PFD6; H2-KE2 |
| Swissprot | O15212 |
| WB Predicted band size | 14 kDa |
| Host/Isotype | Rabbit IgG |
| Storage | Store at 4°C short term. Aliquot and store at -20°C long term. Avoid freeze/thaw cycles. |
| Species Reactivity | Human, Mouse |
| Immunogen | Synthetic peptide of human PFDN6 |
| Formulation | pH7.4 PBS, 0.05% NaN3, 40% Glycerol |
| Application | |
|---|---|
| WB | 1/500-1/2000 |
| IHC | 1/25-1/100 |
| ELISA | 1/2000-1/5000 |
![]() |
Gel: 12%SDS-PAGE, Lysate: 40 μg, Lane: Mouse heart tissue, Primary antibody: P11499(PFDN6 Antibody) at dilution 1/250, Secondary antibody: Goat anti rabbit IgG at 1/8000 dilution, Exposure time: 20 seconds |
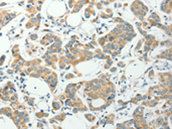
![]() |
The image is immunohistochemistry of paraffin-embedded Human lung cancer tissue using P11499(PFDN6 Antibody) at dilution 1/35. (Original magnification: ×200) |
![]() |
The image is immunohistochemistry of paraffin-embedded Human colon cancer tissue using P11499(PFDN6 Antibody) at dilution 1/35. (Original magnification: ×200) |
本公司的所有产品仅用于科学研究或者工业应用等非医疗目的,不可用于人类或动物的临床诊断或治疗,非药用,非食用。
暂无评论
本公司的所有产品仅用于科学研究或者工业应用等非医疗目的,不可用于人类或动物的临床诊断或治疗,非药用,非食用。
中文



发表回复