别名:6-phosphogluconate dehydrogenase, decarboxylating, PGD, PGDH应用:WB,IHC,FCM
反应种属:Human, Mouse
规格:50μl/100μl
| Description |
|---|
| 6-phosphogluconate dehydrogenase is the second dehydrogenase in the pentose phosphate shunt. Deficiency of this enzyme is generally asymptomatic, and the inheritance of this disorder is autosomal dominant. Hemolysis results from combined deficiency of 6-phosphogluconate dehydrogenase and 6-phosphogluconolactonase suggesting a synergism of the two enzymopathies. |
| Specification | |
|---|---|
| Aliases | 6-phosphogluconate dehydrogenase, decarboxylating, PGD, PGDH |
| Entrez GeneID | 5226 |
| Swissprot | P52209 |
| WB Predicted band size | 53.1kDa |
| Host/Isotype | Rabbit IgG |
| Storage | Store at 4°C short term. Aliquot and store at -20°C long term. Avoid freeze/thaw cycles. |
| Species Reactivity | Human, Mouse |
| Immunogen | This PGD antibody is generated from rabbits immunized with a KLH conjugated synthetic peptide between 236-265 amino acids from the Central region of human PGD. |
| Formulation | Purified polyclonal antibody supplied in PBS with 0.05% sodium azide. This antibody is purified through a protein A column, followed by peptide affinity purification. |
| Application | |
|---|---|
| WB | 1/1000 |
| IHC | 1/100-1/500 |
| FCM | 1/10-1/50 |
![]() |
PGD Antibody (Center) (Cat.#P30681) western blot analysis in 293,MCF-7 cell line lysates (35ug/lane).This demonstrates the PGD antibody detected PGD protein (arrow). |
![]() |
PGD Antibody (Center) (Cat.#P30681) western blot analysis in mouse spleen tissue lysates (35ug/lane).This demonstrates the PGD antibody detected PGD protein (arrow). |
![]() |
PGD Antibody (Center) (Cat. #P30681) flow cytometric analysis of 293 cells (right histogram) compared to a negative control cell (left histogram).FITC-conjugated goat-anti-rabbit secondary antibodies were used for the analysis. |
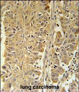
![]() |
PGD Antibody (Center) (Cat. #P30681) immunohistochemistry analysis in formalin fixed and paraffin embedded human lung carcinoma followed by peroxidase conjugation of the secondary antibody and DAB staining. This data demonstrates the use of the PGD Antibody (Center) for immunohistochemistry. Clinical relevance has not been evaluated. |
本公司的所有产品仅用于科学研究或者工业应用等非医疗目的,不可用于人类或动物的临床诊断或治疗,非药用,非食用。
暂无评论
本公司的所有产品仅用于科学研究或者工业应用等非医疗目的,不可用于人类或动物的临床诊断或治疗,非药用,非食用。
中文




发表回复