别名:Polyhomeotic-like protein 3, Early development regulatory protein 3, Homolog of polyhomeotic 3, hPH3, PHC3, EDR3, PH3应用:WB
反应种属:Human, Mouse
规格:50μl/100μl
| Description |
|---|
| Component of a Polycomb group (PcG) multiprotein PRC1- like complex, a complex class required to maintain the transcriptionally repressive state of many genes, including Hox genes, throughout development. PcG PRC1 complex acts via chromatin remodeling and modification of histones; it mediates monoubiquitination of histone H2A ‘Lys-119’, rendering chromatin heritably changed in its expressibility. |
| Specification | |
|---|---|
| Aliases | Polyhomeotic-like protein 3, Early development regulatory protein 3, Homolog of polyhomeotic 3, hPH3, PHC3, EDR3, PH3 |
| Entrez GeneID | 80012 |
| Swissprot | Q8NDX5 |
| WB Predicted band size | 106.2kDa |
| Host/Isotype | Rabbit IgG |
| Storage | Store at 4°C short term. Aliquot and store at -20°C long term. Avoid freeze/thaw cycles. |
| Species Reactivity | Human, Mouse |
| Immunogen | This PHC3 antibody is generated from a rabbit immunized with a KLH conjugated synthetic peptide between 819-850 amino acids from human PHC3. |
| Application | |
|---|---|
| WB | 1/2000 |
![]() |
All lanes : Anti-PHC3 Antibody (C-Term) at 1:2000 dilution Lane 1: Hela whole cell lysate Lane 2: SH-SY5Y whole cell lysate Lane 3: HepG2 whole cell lysate Lane 4: U-2OS whole cell lysate Lane 5: A549 whole cell lysate Lane 6: MCF-7 whole cell lysate Lysates/proteins at 20 µg per lane. Secondary Predicted band size : 106 kDa Blocking/Dilution buffer: 5% NFDM/TBST. |
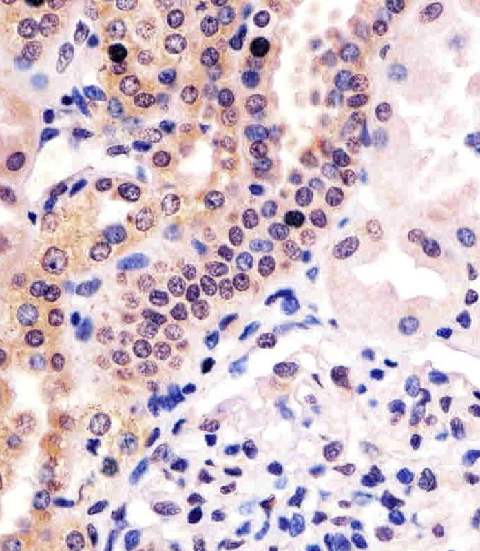
![]() |
P33495 staining PHC3 in human kidney tissue sections by Immunohistochemistry (IHC-P – paraformaldehyde-fixed, paraffin-embedded sections). Tissue was fixed with formaldehyde and blocked with 3% BSA for 0. 5 hour at room temperature; antigen retrieval was by heat mediation with a citrate buffer (pH6). Samples were incubated with primary antibody (1/25) for 1 hours at 37°C. A undiluted biotinylated goat polyvalent antibody was used as the secondary antibody. |
本公司的所有产品仅用于科学研究或者工业应用等非医疗目的,不可用于人类或动物的临床诊断或治疗,非药用,非食用。
暂无评论
本公司的所有产品仅用于科学研究或者工业应用等非医疗目的,不可用于人类或动物的临床诊断或治疗,非药用,非食用。
中文


发表回复