别名:Protein Jade-1, Jade family PHD finger protein 1, PHD finger protein 17, JADE1, KIAA1807, PHF17应用:WB,IHC
反应种属:Human
规格:50μl/100μl
| Description |
|---|
| Component of the HBO1 complex which has a histone H4-specific acetyltransferase activity, a reduced activity toward histone H3 and is responsible for the bulk of histone H4 acetylation in vivo. Transcriptional coactivator it may also promote acetylation of nucleosomal histone H4 by KAT5. Promotes apoptosis. May act as a renal tumor suppressor. |
| Specification | |
|---|---|
| Aliases | Protein Jade-1, Jade family PHD finger protein 1, PHD finger protein 17, JADE1, KIAA1807, PHF17 |
| Entrez GeneID | 79960 |
| Swissprot | Q6IE81 |
| WB Predicted band size | 95.5kDa |
| Host/Isotype | Rabbit IgG |
| Storage | Store at 4°C short term. Aliquot and store at -20°C long term. Avoid freeze/thaw cycles. |
| Species Reactivity | Human |
| Immunogen | This PHF17 antibody is generated from rabbits immunized with a KLH conjugated synthetic peptide between 22-51 amino acids from the N-terminal region of human PHF17. |
| Formulation | Purified polyclonal antibody supplied in PBS with 0.05% sodium azide. This antibody is purified through a protein A column, followed by peptide affinity purification. |
| Application | |
|---|---|
| WB | 1/1000 |
| IHC | 1/100-1/500 |
![]() |
Western blot analysis of lysate from U-251 MG cell line, using PHF17 Antibody (N-term)(Cat. #P31285). P31285 was diluted at 1:1000 at each lane. A goat anti-rabbit IgG H&L(HRP) at 1:5000 dilution was used as the secondary antibody. Lysate at 35ug per lane. |
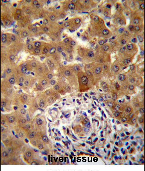
![]() |
PHF17 Antibody (N-term) (Cat. #P31285)immunohistochemistry analysis in formalin fixed and paraffin embedded human liver tissue followed by peroxidase conjugation of the secondary antibody and DAB staining.This data demonstrates the use of PHF17 Antibody (N-term) for immunohistochemistry. Clinical relevance has not been evaluated. |
本公司的所有产品仅用于科学研究或者工业应用等非医疗目的,不可用于人类或动物的临床诊断或治疗,非药用,非食用。
暂无评论
本公司的所有产品仅用于科学研究或者工业应用等非医疗目的,不可用于人类或动物的临床诊断或治疗,非药用,非食用。
中文


发表回复