别名:INI; Rds3; SF3B7; SAP14b; SF3b14b; bK223H9.2应用:WB,IHC
反应种属:Human, Mouse, Rat
规格:50μl/100μl
| Description |
|---|
| This gene encodes a subunit of the splicing factor 3b protein complex. Splicing factor 3b, together with splicing factor 3a and a 12S RNA unit, forms the U2 small nuclear ribonucleoproteins complex (U2 snRNP). The splicing factor 3b/3a complex binds pre-mRNA upstream of the intron’s branch site in a sequence-independent manner and may anchor the U2 snRNP to the pre-mRNA. The protein encoded by this gene contains a PHD-finger-like domain that is flanked by highly basic N- and C-termini. This protein belongs to the PHD-finger superfamily and may act as a chromatin-associated protein. This gene has several pseudogenes on different chromosomes. |
| Specification | |
|---|---|
| Aliases | INI; Rds3; SF3B7; SAP14b; SF3b14b; bK223H9.2 |
| Swissprot | Q7RTV0 |
| WB Predicted band size | 12 kDa |
| Host/Isotype | Rabbit IgG |
| Storage | Store at 4°C short term. Aliquot and store at -20°C long term. Avoid freeze/thaw cycles. |
| Species Reactivity | Human, Mouse, Rat |
| Immunogen | Fusion protein of human PHF5A |
| Formulation | pH7.4 PBS, 0.05% NaN3, 40% Glycerol |
| Application | |
|---|---|
| WB | 1/500-1/2000 |
| IHC | 1/50-1/200 |
| ELISA | 1/5000-1/10000 |
![]() |
Gel: 12%SDS-PAGE, Lysate: 40 μg, Lane 1-2: SKOV3 and Raji cell lysates, Primary antibody: P03226(PHF5A Antibody) at dilution 1/800, Secondary antibody: Goat anti rabbit IgG at 1/5000 dilution, Exposure time: 1 minute |
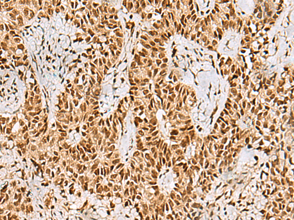
![]() |
The image is immunohistochemistry of paraffin-embedded Human ovarian cancer tissue using P03226(PHF5A Antibody) at dilution 1/55. (Original magnification: ×200) |
![]() |
The image is immunohistochemistry of paraffin-embedded Human tonsil tissue using P03226(PHF5A Antibody) at dilution 1/55. (Original magnification: ×200) |
本公司的所有产品仅用于科学研究或者工业应用等非医疗目的,不可用于人类或动物的临床诊断或治疗,非药用,非食用。
暂无评论
本公司的所有产品仅用于科学研究或者工业应用等非医疗目的,不可用于人类或动物的临床诊断或治疗,非药用,非食用。
中文



发表回复