别名:EIF4EBP1; Eukaryotic translation initiation factor 4E-binding protein 1; 4E-BP1; eIF4E-binding protein 1; Phosphorylated heat- and acid-stable protein regulated by insulin 1; PHAS-I应用:WB,IHC
反应种属:Human,Mouse,Rat
规格:50μl/100μl
| Description |
|---|
| Translation repressor protein 4E-BP1 (also known as PHAS-1) inhibits cap-dependent translation by binding to the translation initiation factor eIF4E. Hyperphosphorylation of 4E-BP1 disrupts this interaction and results in activation of cap-dependent translation. Both the PI3 kinase/Akt pathway and FRAP/mTOR kinase regulate 4E-BP1 activity. |
| Specification | |
|---|---|
| Aliases | EIF4EBP1; Eukaryotic translation initiation factor 4E-binding protein 1; 4E-BP1; eIF4E-binding protein 1; Phosphorylated heat- and acid-stable protein regulated by insulin 1; PHAS-I |
| Entrez GeneID | 1978 |
| Swissprot | Q13541 |
| WB Predicted band size | Calculated MW: 13 kDa; Observed MW: 18 kDa |
| Host/Isotype | Rabbit IgG |
| Storage | Store at 4°C short term. Aliquot and store at -20°C long term. Avoid freeze/thaw cycles. |
| Species Reactivity | Human,Mouse,Rat |
| Immunogen | Synthetic peptide of human EIF4EBP1 |
| Formulation | Liquid in PBS containing 50% glycerol, 0.5% BSA and 0.02% sodium azide, pH 7.3. |
| Application | |
|---|---|
| WB | 1/500-1/1000 |
| IHC | 1/50-1/100 |
![]() |
Western blot analysis of Phospho-4E BP1 (Thr37) in MDAMB435 lysates using Phospho-4E BP1 (Thr37) antibody. |
![]() |
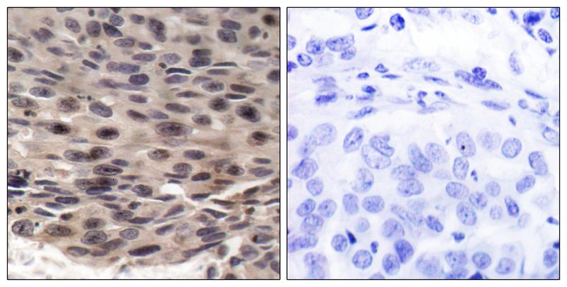
Immunohistochemistry analysis of paraffin-embedded Human breast carcinoma, using 4EBP1 (Phospho-Thr36) antibody.High-pressure and temperature Sodium Citrate pH 6.0 was used for antigen retrieval. Sample with blocking peptide on the right. |
本公司的所有产品仅用于科学研究或者工业应用等非医疗目的,不可用于人类或动物的临床诊断或治疗,非药用,非食用。
暂无评论
本公司的所有产品仅用于科学研究或者工业应用等非医疗目的,不可用于人类或动物的临床诊断或治疗,非药用,非食用。
中文


发表回复