别名:Tyrosine-protein kinase ABL1, Abelson murine leukemia viral oncogene homolog 1, Abelson tyrosine-protein kinase 1, Proto-oncogene c-Abl, p150, ABL1, ABL, JTK7应用:WB,IHC,ICC
反应种属:Human
规格:50μl/100μl
| Description |
|---|
| ABL1 is a cytoplasmic and nuclear protein tyrosine kinase that has been implicated in processes of cell differentiation, cell division, cell adhesion, and stress response. Activity of c-Abl protein is negatively regulated by its SH3 domain, and deletion of the SH3 domain turns ABL1 into an oncogene. The t(9;22) translocation results in the head-to-tail fusion of the BCR and ABL1 genes present in many cases of chronic myelogeneous leukemia. The DNA-binding activity of the ubiquitously expressed ABL1 tyrosine kinase is regulated by CDC2-mediated phosphorylation, suggesting a cell cycle function for ABL1. |
| Specification | |
|---|---|
| Aliases | Tyrosine-protein kinase ABL1, Abelson murine leukemia viral oncogene homolog 1, Abelson tyrosine-protein kinase 1, Proto-oncogene c-Abl, p150, ABL1, ABL, JTK7 |
| Entrez GeneID | 25 |
| Swissprot | P00519 |
| WB Predicted band size | 128.9kDa |
| Host/Isotype | Rabbit IgG |
| Storage | Store at 4°C short term. Aliquot and store at -20°C long term. Avoid freeze/thaw cycles. |
| Species Reactivity | Human |
| Immunogen | This ABL1 Antibody is generated from rabbits immunized with a KLH conjugated synthetic phosphopeptide corresponding to amino acid residues surrounding Y251 of human ABL1. |
| Formulation | Purified polyclonal antibody supplied in PBS with 0.05% sodium azide. This antibody is purified through a protein A column, followed by peptide affinity purification. |
| Application | |
|---|---|
| WB | 1/500-1/1000 |
| IHC | 1/100-1/500 |
| ICC | 1/10-1/50 |
![]() |
Dot blot analysis of anti-Phospho-ABL1-Y251 Antibody (Cat. #P30116) on nitrocellulose membrane. 50ng of Phospho-peptide or Non Phospho-peptide per dot were adsorbed. Antobodies working concentration was 0.5ug per ml. |
![]() |
Western blot analysis of anti-ABL Pab (Cat. #P30116) in Hela cell line lysate (35ug/lane). ABL(arrow) was detected using the purified Pab. |
![]() |
Confocal immunofluorescent analysis of Phospho-ABL1-Y251 Antibody(Cat#P30116) with MCF-7 cell followed by Alexa Fluor 488-conjugated goat anti-rabbit lgG (green). DAPI was used to stain the cell nuclear (blue). |
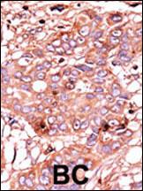
![]() |
Formalin-fixed and paraffin-embedded human cancer tissue reacted with the primary antibody, which was peroxidase-conjugated to the secondary antibody, followed by AEC staining. This data demonstrates the use of this antibody for immunohistochemistry; clinical relevance has not been evaluated. BC = breast carcinoma; HC = hepatocarcinoma. |
本公司的所有产品仅用于科学研究或者工业应用等非医疗目的,不可用于人类或动物的临床诊断或治疗,非药用,非食用。
暂无评论
本公司的所有产品仅用于科学研究或者工业应用等非医疗目的,不可用于人类或动物的临床诊断或治疗,非药用,非食用。
中文




发表回复