别名:Tyrosine-protein kinase ABL1, Abelson murine leukemia viral oncogene homolog 1, Abelson tyrosine-protein kinase 1, Proto-oncogene c-Abl, p150, ABL1, ABL, JTK7应用:WB,IHC
反应种属:Human
规格:50μl/100μl
| Description |
|---|
| ABL2 is a cytoplasmic tyrosine kinase which is closely related to but distinct from ABL1. The similarity of the proteins includes the tyrosine kinase domains and extends amino-terminal to include the SH2 and SH3 domains. ABL2 is expressed in both normal and tumor cells. |
| Specification | |
|---|---|
| Aliases | Tyrosine-protein kinase ABL1, Abelson murine leukemia viral oncogene homolog 1, Abelson tyrosine-protein kinase 1, Proto-oncogene c-Abl, p150, ABL1, ABL, JTK7 |
| Entrez GeneID | 25 |
| Swissprot | P00519 |
| WB Predicted band size | 128.9kDa |
| Host/Isotype | Rabbit IgG |
| Storage | Store at 4°C short term. Aliquot and store at -20°C long term. Avoid freeze/thaw cycles. |
| Species Reactivity | Human |
| Immunogen | This ABL Antibody is generated from rabbits immunized with a KLH conjugated synthetic phosphopeptide corresponding to amino acid residues surrounding Y393 of human ABL1 or Y439 of human ABL2. |
| Formulation | Purified polyclonal antibody supplied in PBS with 0.05% sodium azide. This antibody is purified through a protein A column, followed by peptide affinity purification. |
| Application | |
|---|---|
| WB | 1/1000 |
| IHC | 1/100-1/500 |
![]() |
Dot blot analysis of ABL1(Y393)/ABL2(439) Phospho-specific Pab (Cat. #P30259) on nitrocellulose membrane. 50ng of Phospho-peptide or Non Phospho-peptide per dot were adsorbed. Antibody working concentrations are 0.5ug per ml. |
![]() |
Western blot analysis of Phospho-ABL1(Y393)/ABL2(439) Antibody Pab (Cat. #P30259) in A2058 cell line lysate (35ug/lane). ABL (arrow) was detected using the purified Pab. |
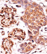
![]() |
Formalin-fixed and paraffin-embedded human cancer tissue reacted with the primary antibody, which was peroxidase-conjugated to the secondary antibody, followed by AEC staining. This data demonstrates the use of this antibody for immunohistochemistry; clinical relevance has not been evaluated. BC = breast carcinoma; HC = hepatocarcinoma. |
本公司的所有产品仅用于科学研究或者工业应用等非医疗目的,不可用于人类或动物的临床诊断或治疗,非药用,非食用。
暂无评论
本公司的所有产品仅用于科学研究或者工业应用等非医疗目的,不可用于人类或动物的临床诊断或治疗,非药用,非食用。
中文



发表回复