别名:SCIDA; SNM1C; A-SCID; RS-SCID; DCLREC1C应用:WB,IHC
反应种属:Human,Mouse
规格:50μl/100μl
| Description |
|---|
| Required for V(D)J recombination, the process by which exons encoding the antigen-binding domains of immunoglobulins and T-cell receptor proteins are assembled from individual V, (D), and J gene segments. V(D)J recombination is initiated by the lymphoid specific RAG endonuclease complex, which generates site specific DNA double strand breaks (DSBs). These DSBs present two types of DNA end structures: hairpin sealed coding ends and phosphorylated blunt signal ends. These ends are independently repaired by the non homologous end joining (NHEJ) pathway to form coding and signal joints respectively. This protein exhibits single-strand specific 5′-3′ exonuclease activity in isolation and acquires endonucleolytic activity on 5′ and 3′ hairpins and overhangs when in a complex with PRKDC. The latter activity is required specifically for the resolution of closed hairpins prior to the formation of the coding joint. May also be required for the repair of complex DSBs induced by ionizing radiation, which require substantial end-processing prior to religation by NHEJ. |
| Specification | |
|---|---|
| Aliases | SCIDA; SNM1C; A-SCID; RS-SCID; DCLREC1C |
| Entrez GeneID | 64421 |
| Swissprot | Q96SD1 |
| WB Predicted band size | Calculated MW: 78 kDa; Observed MW: 78 kDa |
| Host/Isotype | Rabbit IgG |
| Storage | Store at 4°C short term. Aliquot and store at -20°C long term. Avoid freeze/thaw cycles. |
| Species Reactivity | Human,Mouse |
| Immunogen | The antiserum was produced against synthesized peptide derived from human Artemis around the phosphorylation site of Ser516. AA range:482-531 |
| Formulation | Liquid in PBS containing 50% glycerol, 0.5% BSA and 0.02% sodium azide, pH 7.3. |
| Application | |
|---|---|
| WB | 1/500-1/1000 |
| IHC | 1/50-1/100 |
| ELISA | 1/10000 |
![]() |
Western blot analysis of Phospho-Artemis (Ser516) in HepG2 cells treated with EGF , using Phospho-Artemis (Ser516) antibody.The lane on the right is blocked with the Phospho- peptide. |
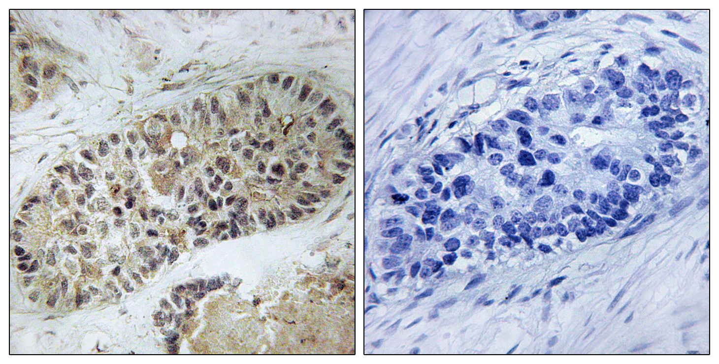
![]() |
Immunohistochemistry analysis of paraffin-embedded Human lung carcinoma, using Phospho-Artemis (Ser516) antibody.High-pressure and temperature Sodium Citrate pH 6.0 was used for antigen retrieval.Sample with blocking peptide on the right. |
本公司的所有产品仅用于科学研究或者工业应用等非医疗目的,不可用于人类或动物的临床诊断或治疗,非药用,非食用。
暂无评论
本公司的所有产品仅用于科学研究或者工业应用等非医疗目的,不可用于人类或动物的临床诊断或治疗,非药用,非食用。
中文


发表回复