别名:B23; NPM应用:WB,IHC,ICC
反应种属:Human,Mouse,Rat
规格:50μl/100μl
| Description |
|---|
| Involved in diverse cellular processes such as ribosome biogenesis, centrosome duplication, protein chaperoning, histone assembly, cell proliferation, and regulation of tumor suppressors p53/TP53 and ARF. Binds ribosome presumably to drive ribosome nuclear export. Associated with nucleolar ribonucleoprotein structures and bind single-stranded nucleic acids. Acts as a chaperonin for the core histones H3, H2B and H4. Stimulates APEX1 endonuclease activity on apurinic/apyrimidinic (AP) double-stranded DNA but inhibits APEX1 endonuclease activity on AP single-stranded RNA. May exert a control of APEX1 endonuclease activity within nucleoli devoted to repair AP on rDNA and the removal of oxidized rRNA molecules. In concert with BRCA2, regulates centrosome duplication. Regulates centriole duplication: phosphorylation by PLK2 is able to trigger centriole replication. Negatively regulates the activation of EIF2AK2/PKR and suppresses apoptosis through inhibition of EIF2AK2/PKR autophosphorylation. Antagonizes the inhibitory effect of ATF5 on cell proliferation and relieves ATF5-induced G2/M blockade (PubMed:22528486). In complex with MYC enhances the transcription of MYC target genes (PubMed:25956029). |
| Specification | |
|---|---|
| Aliases | B23; NPM |
| Entrez GeneID | 4869 |
| Swissprot | P06748 |
| WB Predicted band size | Calculated MW: 33 kDa; Observed MW: 33 kDa |
| Host/Isotype | Rabbit IgG |
| Storage | Store at 4°C short term. Aliquot and store at -20°C long term. Avoid freeze/thaw cycles. |
| Species Reactivity | Human,Mouse,Rat |
| Immunogen | The antiserum was produced against synthesized peptide derived from human NPM around the phosphorylation site of Thr199. AA range:171-220 |
| Formulation | Liquid in PBS containing 50% glycerol, 0.5% BSA and 0.02% sodium azide, pH 7.3. |
| Application | |
|---|---|
| WB | 1/500-1/1000 |
| IHC | 1/50-1/100 |
| ICC | 1/50-1/200 |
| ELISA | 1/10000 |
![]() |
EnzymeLinked Immunosorbent Assay (Phospho-ELISA) for Immunogen Phospho-peptide (Phospho-left) and NonPhospho-peptide (Phospho-right), using NPM (Phospho-Thr19antibody |
![]() |
Western blot analysis of Phospho-B23 (Thr199) in HepG2 lysates using Phospho-B23 (Thr199) antibody.The lane on the right is blocked with the synthesized peptide. |
![]() |
Immunofluorescence analysis of Phospho-B23 (Thr199) in HeLa treated with EGF using Phospho-B23 (Thr199) antibody. The picture on the right is blocked with the Phospho- peptide. |
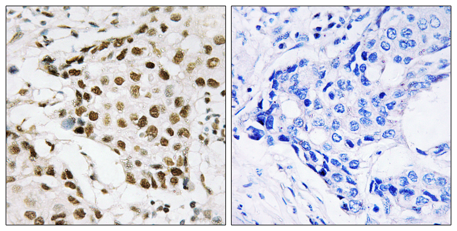
![]() |
Immunohistochemistry analysis of paraffin-embedded Human breast carcinoma using Phospho-B23 (Thr199) antibody. High-pressure and temperature Sodium Citrate pH 6.0 was used for antigen retrieval.Sample with blocking peptide on the right. |
本公司的所有产品仅用于科学研究或者工业应用等非医疗目的,不可用于人类或动物的临床诊断或治疗,非药用,非食用。
暂无评论
本公司的所有产品仅用于科学研究或者工业应用等非医疗目的,不可用于人类或动物的临床诊断或治疗,非药用,非食用。
中文




发表回复