别名:Bcl2-associated agonist of cell death, BAD, Bcl-2-binding component 6, Bcl-2-like protein 8, Bcl2-L-8, Bcl-xL/Bcl-2-associated death promoter, Bcl2 antagonist of cell death, BAD, BBC6, BCL2L8应用:WB,IHC
反应种属:Human
规格:50μl/100μl
| Description |
|---|
| Bad is a member of the BCL-2 family. BCL-2 family members are known to be regulators of programmed cell death. This protein positively regulates cell apoptosis by forming heterodimers with BCL-xL and BCL-2, and reversing their death repressor activity. Proapoptotic activity of this protein is regulated through its phosphorylation. Protein kinases AKT and MAP kinase, as well as protein phosphatase calcineurin are found to be involved in the regulation of this protein. Bad is phosphorylated on one or more of Ser-75, Ser-99, Ser-118 and Ser-134 in response to survival stimuli, which blocks its pro-apoptotic activity. Phosphorylation on Ser-99 or Ser-75 promotes heterodimerization with 14-3-3 proteins. This interaction then facilitates the phosphorylation at Ser-118, a site within the BH3 motif, leading to the release of Bcl-X(L) and the promotion of cell survival. Ser-99 is the major site of AKT/PKB phosphorylation, Ser-118 the major site of protein kinase A (CAPK) phosphorylation |
| Specification | |
|---|---|
| Aliases | Bcl2-associated agonist of cell death, BAD, Bcl-2-binding component 6, Bcl-2-like protein 8, Bcl2-L-8, Bcl-xL/Bcl-2-associated death promoter, Bcl2 antagonist of cell death, BAD, BBC6, BCL2L8 |
| Entrez GeneID | 572 |
| Swissprot | Q92934 |
| WB Predicted band size | 18.4kDa |
| Host/Isotype | Rabbit IgG |
| Storage | Store at 4°C short term. Aliquot and store at -20°C long term. Avoid freeze/thaw cycles. |
| Species Reactivity | Human |
| Immunogen | This Bad Antibody is generated from rabbits immunized with a KLH conjugated synthetic phosphopeptide corresponding to amino acid residues surrounding S75 of human Bad. |
| Formulation | Purified polyclonal antibody supplied in PBS with 0.05% sodium azide. This antibody is purified through a protein A column, followed by peptide affinity purification. |
| Application | |
|---|---|
| WB | 1/1000 |
| IHC | 1/100-1/500 |
![]() |
The anti-Phospho-Bad-S75 Pab (Cat. #P30120) is used in Western blot to detect Phospho-Bad-S75 in HL60 tissue lysate |
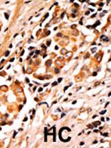
![]() |
Formalin-fixed and paraffin-embedded human cancer tissue reacted with the primary antibody, which was peroxidase-conjugated to the secondary antibody, followed by AEC staining. This data demonstrates the use of this antibody for immunohistochemistry; clinical relevance has not been evaluated. BC = breast carcinoma; HC = hepatocarcinoma. |
本公司的所有产品仅用于科学研究或者工业应用等非医疗目的,不可用于人类或动物的临床诊断或治疗,非药用,非食用。
暂无评论
本公司的所有产品仅用于科学研究或者工业应用等非医疗目的,不可用于人类或动物的临床诊断或治疗,非药用,非食用。
中文


发表回复