别名:Transcription factor AP-1; Activator protein 1; AP1; Proto-oncogene c-Jun; V-jun avian sarcoma virus 17 oncogene homolog; p39应用:WB,IHC,ICC
反应种属:Human,Mouse,Rat
规格:50μl/100μl
| Description |
|---|
| c-jun is a transcription factor that recognizes and binds to the enhancer heptamer motif 5′-TGA[CG]TCA-3′. Promotes activity of NR5A1 when phosphorylated by HIPK3 leading to increased steroidogenic gene expression upon cAMP signaling pathway stimulation. |
| Specification | |
|---|---|
| Aliases | Transcription factor AP-1; Activator protein 1; AP1; Proto-oncogene c-Jun; V-jun avian sarcoma virus 17 oncogene homolog; p39 |
| Entrez GeneID | 3725 |
| Swissprot | P05412 |
| WB Predicted band size | Calculated MW: 36 kDa; Observed MW: 48 kDa |
| Host/Isotype | Rabbit IgG |
| Storage | Store at 4°C short term. Aliquot and store at -20°C long term. Avoid freeze/thaw cycles. |
| Species Reactivity | Human,Mouse,Rat |
| Immunogen | A synthesized peptide derived from human Phospho-c-Jun (S63) |
| Formulation | Rabbit IgG in phosphate buffered saline , pH 7.4, 150mM NaCl, 0.02% sodium azide and 50% glycerol. |
| Application | |
|---|---|
| WB | 1/500-1/1000 |
| IHC | 1/50-1/100 |
| ICC | 1/50-1/200 |
![]() |
Western blot analysis of c-Jun Phosphorylation in NIH/3T3 lysates treated with Anisomycin using Phospho-c-Jun (Ser63) antibody. |
![]() |
Immunofluorescence analysis of Phospho-c-Jun (Ser63) in HeLa treated with anisomycin using Phospho-c-Jun (S63) antibody. |
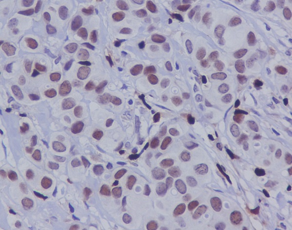
![]() |
Immunohistochemistry analysis of paraffin-embedded Human breast carcinoma using Phospho-c-Jun (S63) antibody.High-pressure and temperature Sodium Citrate pH 6.0 was used for antigen retrieval. |
本公司的所有产品仅用于科学研究或者工业应用等非医疗目的,不可用于人类或动物的临床诊断或治疗,非药用,非食用。
暂无评论
本公司的所有产品仅用于科学研究或者工业应用等非医疗目的,不可用于人类或动物的临床诊断或治疗,非药用,非食用。
中文



发表回复