别名:M-phase inducer phosphatase 1, Dual specificity phosphatase Cdc25A, CDC25A应用:WB,IHC
反应种属:Human
规格:50μl/100μl
| Description |
|---|
| CDC25A is a member of the CDC25 family of phosphatases. CDC25A is required for progression from G1 to the S phase of the cell cycle. It activates the cyclin-dependent kinase CDC2 by removing two phosphate groups. CDC25A is specifically degraded in response to DNA damage, which prevents cells with chromosomal abnormalities from progressing through cell division. CDC25A is an oncogene, although its exact role in oncogenesis has not been demonstrated. Two transcript variants encoding different isoforms have been found for this gene. |
| Specification | |
|---|---|
| Aliases | M-phase inducer phosphatase 1, Dual specificity phosphatase Cdc25A, CDC25A |
| Entrez GeneID | 993 |
| Swissprot | P30304 |
| WB Predicted band size | 59.1kDa |
| Host/Isotype | Rabbit IgG |
| Storage | Store at 4°C short term. Aliquot and store at -20°C long term. Avoid freeze/thaw cycles. |
| Species Reactivity | Human |
| Immunogen | This CDC25A Antibody is generated from rabbits immunized with a KLH conjugated synthetic phosphopeptide corresponding to amino acid residues surrounding S278 of human CDC25A. |
| Formulation | Purified polyclonal antibody supplied in PBS with 0.05% sodium azide. This antibody is first purified by protein G affinity chromatography. Then, the antibody fraction is peptide affinity purified in a 2-step procedure with control and phosphorylated peptides. The phospho-specific antibody is eluted with high and low pH buffers and neutralized immediately, followed by dialysis against PBS. |
| Application | |
|---|---|
| WB | 1/1000 |
| IHC | 1/100-1/500 |
![]() |
The anti-Phospho-CDC25A-S278 Pab (Cat. #P30166) is used in Western blot to detect Phospho-CDC25A-S278 in mouse heart tissue lysate |
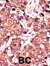
![]() |
Formalin-fixed and paraffin-embedded human cancer tissue reacted with the primary antibody, which was peroxidase-conjugated to the secondary antibody, followed by AEC staining. This data demonstrates the use of this antibody for immunohistochemistry; clinical relevance has not been evaluated. BC = breast carcinoma; HC = hepatocarcinoma. |
本公司的所有产品仅用于科学研究或者工业应用等非医疗目的,不可用于人类或动物的临床诊断或治疗,非药用,非食用。
暂无评论
本公司的所有产品仅用于科学研究或者工业应用等非医疗目的,不可用于人类或动物的临床诊断或治疗,非药用,非食用。
中文


发表回复