别名:Connexin 43; Connexin-43; Cx 43; Cx43; CXA1_HUMAN; DFNB38; Gap junction 43 kDa heart protein; Gap junction alpha-1 protein; Gap junction protein alpha 1 43kDa (connexin 43); Gap junction protein alpha 1 43kDa; Gap junction protein alpha like; GJA 1; Gja1; GJAL; ODD; ODDD; ODOD; SDTY3.应用:WB,IHC
反应种属:Human,Mouse,Rat
规格:50μl/100μl
| Description |
|---|
| Gap junction protein that acts as a regulator of bladder capacity. |
| Specification | |
|---|---|
| Aliases | Connexin 43; Connexin-43; Cx 43; Cx43; CXA1_HUMAN; DFNB38; Gap junction 43 kDa heart protein; Gap junction alpha-1 protein; Gap junction protein alpha 1 43kDa (connexin 43); Gap junction protein alpha 1 43kDa; Gap junction protein alpha like; GJA 1; Gja1; GJAL; ODD; ODDD; ODOD; SDTY3. |
| Entrez GeneID | 2697 |
| Swissprot | P17302 |
| WB Predicted band size | Calculated MW: 43 kDa; Observed MW: 43 kDa |
| Host/Isotype | Rabbit IgG |
| Storage | Store at 4°C short term. Aliquot and store at -20°C long term. Avoid freeze/thaw cycles. |
| Species Reactivity | Human,Mouse,Rat |
| Immunogen | Synthetic peptide of human GJA1 |
| Formulation | Liquid in PBS containing 50% glycerol, 0.5% BSA and 0.02% sodium azide, pH 7.3. |
| Application | |
|---|---|
| WB | 1/500-1/1000 |
| IHC | 1/50-1/100 |
![]() |
Western blot analysis of Phospho-Connexin 43 (Ser368) in 293 lysates using Phospho-Connexin 43 (Ser368) antibody. |
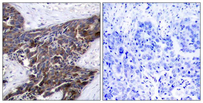
![]() |
Immunohistochemistry analysis of paraffin-embedded Human breast carcinoma tissue using Connexin 43 (Phospho-Ser368) antibody.High-pressure and temperature Sodium Citrate pH 6.0 was used for antigen retrieval. Sample with blocking peptide on the right. |
本公司的所有产品仅用于科学研究或者工业应用等非医疗目的,不可用于人类或动物的临床诊断或治疗,非药用,非食用。
暂无评论
本公司的所有产品仅用于科学研究或者工业应用等非医疗目的,不可用于人类或动物的临床诊断或治疗,非药用,非食用。
中文


发表回复