别名:EGFR; ERBB; ERBB1; HER1; Epidermal growth factor receptor; Proto-oncogene c-ErbB-1; Receptor tyrosine-protein kinase erbB-1应用:WB,IHC
反应种属:Human,Mouse,Rat
规格:50μl/100μl
| Description |
|---|
| EGFR is a receptor tyrosine kinase. Receptor for epidermal growth factor (EGF) and related growth factors including TGF-alpha, amphiregulin, betacellulin, heparin-binding EGF-like growth factor, GP30 and vaccinia virus growth factor. Is involved in the control of cell growth and differentiation. . A single-pass transmembrane tyrosine kinase. Ligand binding to this receptor results in receptor dimerization, autophosphorylation (in trans), activation of various downstream signaling molecules and lysosomal degradation. |
| Specification | |
|---|---|
| Aliases | EGFR; ERBB; ERBB1; HER1; Epidermal growth factor receptor; Proto-oncogene c-ErbB-1; Receptor tyrosine-protein kinase erbB-1 |
| Entrez GeneID | 1956 |
| Swissprot | P00533 |
| WB Predicted band size | Calculated MW: 134 kDa; Observed MW: 140-160 kDa |
| Host/Isotype | Rabbit IgG |
| Storage | Store at 4°C short term. Aliquot and store at -20°C long term. Avoid freeze/thaw cycles. |
| Species Reactivity | Human,Mouse,Rat |
| Immunogen | The antiserum was produced against synthesized peptide derived from human EGFR around the phosphorylation site of Tyr1092. AA range:1061-1110 |
| Formulation | Liquid in PBS containing 50% glycerol, 0.5% BSA and 0.02% sodium azide, pH 7.3. |
| Application | |
|---|---|
| WB | 1/500-1/1000 |
| IHC | 1/50-1/100 |
| ELISA | 1/10000 |
![]() |
Western blot analysis of Phospho-EGFR (Tyr1092) in various lysates using Phospho-EGFR (Tyr1092) antibody. |
![]() |
Western blot analysis of Phospho-EGFR (Tyr1092) in HUVEC lysates treated with EGF, using EGFR (Phospho-Tyr19, 2) antibody. The lane on the right is blocked with the Phospho- peptide. |
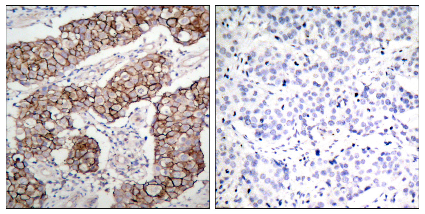
![]() |
Immunohistochemistry analysis of paraffin-embedded Human breast carcinoma, using EGFR (Phospho-Tyr109, 2) antibody.High-pressure and temperature Sodium Citrate pH 6.0 was used for antigen retrieval. Sample with blocking peptide on the right. |
本公司的所有产品仅用于科学研究或者工业应用等非医疗目的,不可用于人类或动物的临床诊断或治疗,非药用,非食用。
暂无评论
本公司的所有产品仅用于科学研究或者工业应用等非医疗目的,不可用于人类或动物的临床诊断或治疗,非药用,非食用。
中文



发表回复